Introdução
A hepatite autoimune e a colangite biliar primária são entidades distintas, cada qual manifestando um quadro clínico específico e requerendo tratamento dirigido correspondente. Mantém-se em debate se a síndrome de sobreposição destas duas doenças constitui, por si só, uma entidade clínica independente ou se integra o espectro de uma ou de outra,1 uma vez que os doentes podem apresentar características de ambas, de início concomitante ou sequencial.2 A síndrome de sobreposição hepatite autoimune/colangite biliar primária é uma condição clínica rara e de difícil diagnóstico.
Caso Clínico
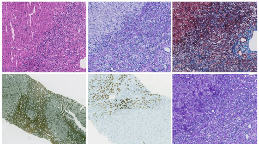
Este é o caso clínico de uma mulher caucasiana de 64 anos de idade, com antecedentes médicos de diabetes mellitus tipo 2, dislipidemia, asma e depressão major. A doente apresentava dor abdominal, distensão abdominal e pirose com 2 meses de evolução, associados a astenia e náuseas de início recente. Na admissão hospitalar exibia sinais de encefalopatia, icterícia e edemas periféricos. As análises sanguíneas constataram trombocitopenia, elevação da aspartato aminotransferase (AST) (16x limite superior do normal [LSN]) e da alanina aminotransferase (ALT) (~8x LSN), hiperbilirrubinemia ligeira, elevação da gama-glutamiltransferase (GGT) (3xLSN) e da fosfatase alcalina (FA) (1,2xLSN), hipoalbuminemia e elevação do rácio normalizado internacional (INR, sigla para a designação em inglês). Revendo as análises prévias da doente, encontraram-se valores flutuantes de transaminases nos últimos 8 meses. A ecografia abdominal revelou ascite e fígado dismórfico, sugerindo uma provável hepatopatia crónica. Foi realizada paracentese diagnóstica, cuja análise do líquido ascítico evidenciou um gradiente de albumina sero-ascítico =2, compatível com o diagnóstico de hipertensão portal, e foi excluída peritonite bacteriana espontânea. Revendo as potenciais causas de doença hepática: não se identificou história de abuso de álcool, consumo de drogas ilícitas ou início recente de novos fármacos; os marcadores víricos hepatotrópicos foram negativos e outras infeções foram igualmente descartadas; os valores séricos de cerulopasmina, alfa 1-antitripsina e alfa-fetoproteína estavam dentro da normalidade. A doente apresentava níveis aumentados de ferritina (7xLSN), mas o estudo genético para hemocromatose foi negativo e a ressonância magnética hepática excluiu sobrecarga de ferro. Adicionalmente, todos os autoanticorpos testados apresentaram resultados negativos em duas avaliações distintas, incluindo anticorpos antinucleares (ANA), anti-fração microssomal de fígado e rim (LKM), anti-músculo liso (SMA), anti-citosol hepático tipo 1 (LC1), antimitocondriais (AMA), anti-antigénio solúvel hepático/fígado-pâncreas (SLA/LP) e anti-Ro52. O título de imunoglobulina G estava aumentado (2,5xLSN), enquanto as demais imunoglobulinas apresentaram valores dentro da normalidade. Foram encontrados autoanticorpos tiroideus positivos (anti-tiroglobulina e anti-peroxidase), mas a função tiroideia estava normal. A colangiopancreatografia por ressonância magnética não revelou alterações das vias biliares. Perante a persistência da dúvida diagnóstica, a doente foi submetida a biópsia hepática, cuja análise histológica (Fig. 1) mostrou fibrose grau 3, hepatite de interface grau 2, ductopenia e lesão dos ductos biliares remanescentes, alterações sugestivas de colangite biliar primária. Para estratificação da doença hepática, a doente foi submetida a endoscopia digestiva alta, que revelou a existência de varizes esofágicas e de gastropatia de hipertensão portal. Foi iniciado tratamento com prednisolona 1 mg/kg/dia e ácido ursodesoxicólico 500 mg de 12/12 horas, resultando numa evolução significativamente positiva do estado clínico da doente. A evolução dos parâmetros analíticos é apresentada na Tabela 1. A doente teve alta do internamento cerca de 2 semanas após início da terapêutica e manteve seguimento em consulta, onde se procedeu ao desmame de corticoide e introdução de azatioprina, mantendo evolução favorável.
Discussão
A hepatite autoimune manifesta-se habitualmente com fadiga, mal-estar geral, letargia, anorexia, perda ponderal, dor no hipocôndrio direito e náuseas, sendo que um terço dos doentes está em estádio de cirrose à data de diagnóstico.3 Tipicamente, existe elevação das transaminases, podendo alcançar um valor superior a 50 vezes o limite superior do normal, enquanto as enzimas colestáticas geralmente estão normais ou apenas ligeiramente aumentadas. Associa-se a hipergamaglobulinemia, mantendo valores normais das restantes imunoglobulinas, sendo esta uma característica distintiva. A hepatite autoimune é classificada de acordo com o padrão de autoanticorpos: o tipo 1 relaciona-se com a presença de ANA, SMA e/ou SLA/LP; no tipo 2 estão presentes os LK1, LK3 e/ou LC1; o tipo 3 apresenta SLA/LP positivo, com ou sem positividade do anticorpo anti-Ro52.3,4Embora infrequente, os doentes podem ser seronegativos.4 O exame diagnóstico de referência é a biópsia, cujas características histológicas incluem hepatite de interface com infiltrados linfocíticos, formação hepatocelular em rosetas, emperipolese, edema hepatocitário e picnose.5 De facto, a doente apresentava sintomas, padrão analítico (elevação predominante das transaminases) e hipergamaglobulinemia compatíveis com o diagnóstico de hepatite autoimune. No entanto, não se detetou nenhum dos anticorpos típicos desta doença.
Quanto à colangite biliar primária, esta pode manifestar-se com fadiga, prurido, dor no hipocôndrio direito e icterícia. As análises mostram hiperbilirrubinemia, principalmente conjugada, e elevação da FA e GGT. A característica mais distintiva é a positividade para o auto-anticorpo AMA, estando presente em 90% dos casos.5 Pode estar associada a elevação da imunoglobulina M, mas as restantes imunoglobulinas apresentam valores normais. A biópsia é realizada apenas quando persistem dúvidas quanto ao diagnóstico e a histologia típica inclui inflamação não supurativa crónica com infiltrados de linfócitos T e o progressivo dano dos ductos biliares, levando à ductopenia.5 No caso clínico aqui relatado, os sintomas podem também ser explicados pela colangite biliar primária, embora o padrão analítico da doente não se enquadre neste diagnóstico, nem tenha sido identificada positividade para AMA. No entanto, a histologia da biópsia hepática identificou as características típicas desta doença.
A síndrome de sobreposição pode apresentar-se de diversas formas: padrão bioquímico misto; anticorpos positivos para ambas as doenças; características histológicas mistas;2 padrão histológico compatível com uma doença e anticorpos compatíveis com a outra.6 Os critérios de Paris e os critérios propostos pelo Grupo Internacional de Hepatite Autoimune são os mais citados para auxiliar o diagnóstico desta síndrome,1,2embora os primeiros sejam mais amplamente aceites, incluindo pela Sociedade Europeia de Estudos do Fígado. Assim, os critérios de Paris são atualmente os mais usados na prática clínica e sugerem a presença de, pelo menos, 2 dos 3 critérios definidos para cada doença (Tabela 2). Esta doente apresenta um padrão analítico característico de hepatite autoimune, cumprindo 2 critérios, e uma histologia hepática sugestiva de colangite biliar primária, cumprindo 1 critério. É também de ressaltar que, tanto cada uma das doenças isoladamente, como a síndrome de sobreposição, estão associadas a outras doenças autoimunes, nomeadamente tiroidite de Hashimoto, síndrome de Sjogren, doença celíaca, psoríase, vitiligo, esclerose sistémica, lupus eritematoso sistémico e artrite reumatoide.1,3,5A doente em questão apresentava autoanticorpos tiroideus positivos, embora função tiroideia normal.
Tabela 2: Critérios de Paris1 para o diagnóstico da síndrome de sobreposição hepatite autoimune/colangite biliar primária. Devem estar presentes, pelo menos, 2 critérios de cada doença; a presença de hepatite de interface é obrigatória para o diagnóstico.
Esta síndrome de sobreposição é uma condição clínica rara, pelo que a sua prevalência ainda não está bem definida.3 Alguns autores mostram ainda alguma apreensão quanto ao seu diagnóstico como uma entidade própria. No entanto, alguns estudos demonstraram que esta síndrome apresenta taxas de hipertensão portal, varizes esofágicas, hemorragia gastrointestinal, ascite e morte ou necessidade de transplante significativamente superiores quando comparado com apenas uma das doenças,1 tornando o seu prognóstico mais reservado. Assim, alguns autores acreditam que a terapêutica combinada é a melhor opção1,5,6: corticoterapia seguida de agentes poupadores de corticoides, como a azatioprina, (primeira linha de tratamento da hepatite autoimune), associada a ácido ursodesoxicólico (terapêutica de primeira linha para a colangite biliar primária).2 No caso de ausência de resposta aos tratamentos de primeira linha pode considerar-se aumento da dose de corticoide, substituição da azatioprina por micofenolato de mofetil3 e/ou adição de ácido obeticólico ao ácido ursodesoxicólico.5 A doente aqui retratada fez, tal como descrito, os dois tratamentos de primeira linha, tendo apresentado melhoria importante e sustentada.
Conclusão
A doente apresentada tinha sintomas compatíveis com ambas as doenças, um padrão analítico compatível com hepatite autoimune e uma histologia hepática concordante com colangite biliar primária, mas não foram detetados quaisquer anticorpos relacionados com estas doenças. Assim, foi diagnosticada com síndrome de sobreposição hepatite autoimune/colangite biliar primária seronegativa em estádio 3 de fibrose, apresentando já algumas das complicações da doença hepática: varizes esofágicas, gastropatia de hipertensão portal, ascite, encefalopatia hepática, hipoalbuminemia, coagulopatia e trombocitopenia. Iniciou tratamento com prednisolona 1 mg/kg/dia e ácido ursodesoxicólico 500 mg de 12 em 12 horas, tendo apresentado melhoria muito significativa e sustentada no tempo.
















