Introdução
A hipertensão arterial (HTA) secundária corresponde a um aumento da pressão arterial com etiologia identificável.1-3 Estima-se que a prevalência de HTA secundária na população seja de 5 a 10% dos casos de hipertensão arterial, sendo os restantes de etiologia idiopática (também designada hipertensão primária ou essencial). Esta prevalência pode variar, dependendo da faixa etária, mas é mais frequente em idades mais jovens. 1-3
Em crianças e adolescentes, a HTA secundária é comummente causada por doenças do parênquima renal (e.g., doenças glomerulares, túbulo-intersticiais, doença poliquística renal e nefropatia diabética), doenças vasculares (como a doença renovascular - estenose da artéria renal) ou coartação da aorta. As duas primeiras integram também as mais comuns em adultos, juntamente com a síndroma da apneia obstrutiva do sono, que é uma das causas mais frequentes. Entre as causas endócrinas, o hiperaldosteronismo primário é o mais prevalente, seguido por distúrbios da tiroide, hipercortisolismo e feocromocitoma. 2-3
Dada a sua raridade, a pesquisa de causas secundárias de HTA não é feita por rotina. 3 A decisão de realizar este estudo requer, por isso, um alto grau de suspeição obtido a partir de colheita adequada da história clínica e da realização do exame objetivo. 4
No geral, deve suspeitar-se de HTA secundária perante doentes jovens (idade inferior a 30 anos) com pressão arterial elevada e sem outros fatores de risco, como história familiar de hipertensão, raça negra ou obesidade; casos de hipertensão resistente (pressão arterial acima dos valores-alvo, apesar do uso de três classes de fármacos anti-hipertensivos em doses otimizadas, incluindo um diurético); aumento repentino da pressão arterial basal num doente previamente estável; aumento da pressão arterial em crianças antes da puberdade; padrão não dipper ou reverse dipper na monitorização ambulatória da pressão arterial (MAPA) de 24 horas; presença de lesão de órgãos-alvo (como hipertrofia ventricular esquerda ou retinopatia hipertensiva). 2-3
Relata-se, neste artigo, o caso de uma utente jovem do sexo feminino com queixas de cefaleia, dor abdominal no quadrante superior direito e valores tensionais elevados em ambulatório, na qual o estudo de HTA secundária foi compatível com o diagnóstico de carcinoma adrenocortical produtor de cortisol e androgénios.
Com este relato de caso pretende alertar-se para uma causa rara de HTA secundária e para a importância do médico de família na sua correta identificação e orientação.
Descrição do caso
Caracterização da utente
Jovem do sexo feminino, 26 anos de idade, raça caucasiana, auxiliar de ação médica num hospital privado, solteira, residente em Felgueiras. A utente pertence a uma família nuclear na fase VI do ciclo de Duvall. Trata-se de uma família categorizada como «baixo risco» nas escalas Segovia-Dreyer e Garcia-Gonzalez. Classifica-se como «média» na escala de Graffar. O APGAR familiar é altamente funcional. Não são descritos antecedentes pessoais ou familiares de relevo. Não apresenta antecedentes cirúrgicos, hábitos tabágicos, etílicos ou toxicofílicos. Como medicação habitual apenas contracetivo oral combinado. Desconhece alergias medicamentosas.
História da situação
A utente recorreu à Unidade de Saúde Familiar (USF), em dezembro/2022, no contexto de uma consulta programada com a sua médica de família, com queixas de cefaleia holocraniana, com cerca de três meses de evolução, recorrente e de intensidade progressivamente maior, com pouca melhoria apesar da automedicação com paracetamol e ibuprofeno. Associadamente apresentava dor abdominal no quadrante superior direito, em moedeira, inicialmente de intensidade ligeira, com agravamento progressivo, tornando-se também resistente à mesma analgesia nas últimas semanas. Apresentava ainda pressão arterial elevada no domicílio, com pressão arterial sistólica a variar entre 150-170 mmHg e pressão arterial diastólica a variar entre 90-110 mmHg, em medições realizadas em diferentes dias. Quando questionada, referia ainda taquicardia, episódios de hipersudorese e queda de cabelo, que notava já há vários meses. A utente negava alterações da visão, roncopatia ou alterações do sono.
Na consulta foi objetivada pressão arterial (PA) de 160/105 mmHg, após três medições corretamente realizadas, frequência cardíaca de 116 bpm, auscultação cardiopulmonar sem alterações, peso corporal de 82 kg (aumento ponderal de cerca de 15 kg em relação à consulta anterior, um ano antes) e índice de massa corporal de 29,4 kg/m2 (excesso de peso). Ao exame abdominal, a utente apresentava panícula adiposa abundante e desconforto à palpação do quadrante superior direito, sem aparentes organomegalias palpáveis. Apresentava ainda edemas maleolares dos membros inferiores, com sinal de Godet positivo; contudo, com pulsos arteriais periféricos sem alterações. Foi realizado teste rápido de urina (COMBUR), que não apresentava alterações, nomeadamente presença de proteínas.
Na sequência das queixas apresentadas e do exame objetivo descrito foi solicitado estudo de causas secundárias de hipertensão. Este incluiu análises com hemograma, funções renal, hepática e tiroideia, ionograma, cortisol sérico, aldosterona, renina, PTH, cálcio total, hormona adrenocorticotrófica (ACTH), urina tipo II, metanefrinas totais em urina de 24 horas, renina, glicose e perfil lipídico; eletrocardiograma e ecocardiograma; ecografia tiroideia, ecografia renal e suprarrenal com estudo doppler e MAPA de 24 h.
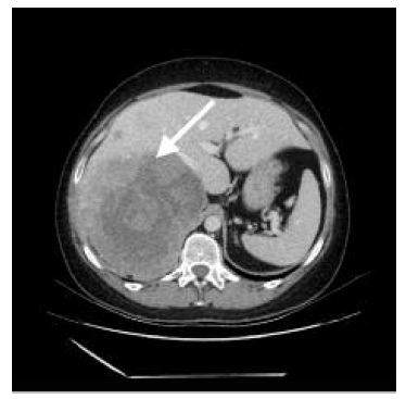
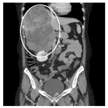
Em janeiro/2023, a utente recorre novamente a consulta com os resultados dos exames. Do estudo efetuado, a destacar MAPA 24 h com “hipertensão arterial sustentada e perfil tensional não dipper”. A ecografia renal apresentava “volumosa massa em íntimo contacto com o bordo posterior do lobo direito hepático medindo cerca de 20 cm de maior eixo incompletamente caracterizada por esta técnica”. A utente trazia já uma tomografia computorizada, que foi realizada imediatamente após a ecografia, e que revelou “no hipocôndrio direito, em relação com o lobo hepático direito, identifica-se volumosa massa heterogénea com áreas de captação na fase arterial e nas fases tardias, demonstrando também algumas áreas hipocaptantes que podem corresponder a áreas necróticas, medindo aproximadamente 16,2 × 14,6 cm de maior eixos axiais e 20,2 cm de eixo longitudinal (...) não se define a glândula suprarrenal pelo que a referida massa pode ter origem suprarrenal ou hepática (...). No segmento hepático VII identificam-se três nódulos hipodensos com 26 mm, 17 mm e 16 mm e no segmento VI um nódulo, cujo comportamento no estudo dinâmico não permite a sua caracterização” (Figuras 1 e 2).

Figura 1 Carcinoma da suprarrenal em tomografia computorizada (corte transversal) - assinalado com seta.

Figura 2 Carcinoma da suprarrenal em tomografia computorizada (corte coronal) - assinalado com círculo.
A utente foi medicada com amlodipina 10 mg e foi encaminhada para o serviço de urgência da Unidade Local de Saúde do Santo António (ULSSA), ao cuidado da medicina interna para estudo e orientação.
Na ULSSA a utente realizou estudo analítico mais alargado, que revelou elevação de ACTH, testosterona total, DHEA-s, delta 4-androstenediona e 3-alfa-androstenediol, cortisol urinário. Realizou tomografia por emissão de positrões (PET), que revelou “volumosa massa hipermetabólica centrada à suprarrenal direita compatível com neoplasia maligna de alto grau, com extensa invasão do lobo direito do fígado”.
Foi assumido o diagnóstico de carcinoma adrenocortical produtor de cortisol e androgénios, localmente avançado, e com metastização hepática - estadio T4, N1, M1.
Em fevereiro/2023, a utente foi submetida a laparotomia exploradora, hemostase hepática e metastasectomia IVa. Intraoperatoriamente foi constatada invasão direta do rim direito, retroperitoneu e fígado direito com metástases hepáticas múltiplas em número superior a 10. Não se verificou ser exequível a tentativa de citorredução pretendida com este procedimento, pelo que a utente foi proposta a quimioterapia paliativa. No entanto, a utente não chegou a realizar a quimioterapia pela evolução rápida e desfecho desfavorável do caso, que culminou com falecimento da utente em abril/2023.
A utente foi acompanhada em consultas frequentes de medicina geral e familiar, presenciais e telefónicas, durante todo o processo, onde encontrou sempre o apoio e a orientação que necessitava.
A família encontra-se em seguimento, em consulta de genética médica para estudo.
Comentário
A hipertensão arterial é uma condição que pode ter várias entidades diagnósticas como causa secundária, pelo que o seu estudo é fundamental dada a possibilidade de algumas destas causas serem potencialmente tratáveis. 4-5
O carcinoma da suprrarenal é uma neoplasia rara mas altamente maligna, responsável por cerca de 0,2% das mortes por cancro6-7 e que afeta mais frequentemente as mulheres.4 Pode surgir em qualquer idade, mas tem um pico de incidência na faixa etária dos 40 aos 60 anos. É uma neoplasia com apresentação clínica muito heterogénea, dado que os tumores podem ser secretores ou não secretores, o que dificulta o seu diagnóstico. 6,8 Na maioria dos doentes observam-se sinais de hipercortisolismo (síndroma de Cushing) ou um síndroma misto de Cushing e virilização. Sintomas compressivos, como desconforto abdominal, vómitos ou raquialgia, podem estar presentes em cerca de 30-40% dos casos. 6 Entre 10 a 15% dos casos, o diagnóstico acaba por ser feito na sequência de um incidentaloma, 6,8 pois o carcinoma da suprarrenal apresenta-se habitualmente com uma massa volumosa unilateral, superior a 10 cm, identificada em tomografia computorizada, 6 como se verificou. A resseção cirúrgica completa é o único tratamento com potencial curativo e de sobrevivência a longo prazo, sendo por isso o tratamento inicial de eleição, quando possível. 6-7 No entanto, mesmo após exérese completa, a maioria dos doentes apresenta recorrência local ou metastização à distância. 6-7 Em doentes sem condições para cirurgia, a quimioterapia é o tratamento de escolha, como se verificou no presente caso. Apesar das terapêuticas disponíveis, a sobrevida global aos cinco anos é inferior aos 30% na maioria dos doentes. 6-7
No caso em apreço, a utente apresentava pressão arterial elevada. Esta pode ser uma manifestação do tumor se este for produtor de glicocorticoides, tornando-o uma causa, embora rara, de hipertensão secundária. 6
Com este caso pretende alertar-se para a existência de causas de HTA secundária que, apesar de raras, são altamente malignas e de mau prognóstico, sendo fundamental o diagnóstico e a orientação precoces. Evidencia-se o papel crucial do médico de família que, como primeira linha de contacto do doente com os serviços de saúde, acaba por ser, na maior parte das vezes, o responsável pelo diagnóstico e orientação de qualquer tipo de doença.
A utente reagiu ao diagnóstico com choque e apreensão, como seria expectável, mas com esperança no tratamento, apesar do prognóstico reservado. Ao longo de todo o processo, a utente foi acompanhada com frequência nos cuidados de saúde primários. O médico de família prestou o suporte necessário à utente e à família para acompanhamento da situação clínica, controlo sintomático da doença, apoio na dolência e resolução de burocracias. Após o falecimento da utente, o núcleo familiar (pais e irmã) continuaram a receber o apoio necessário, tendo sido encaminhados para consulta de psicologia. Foi obtido consentimento informado por parte dos pais para publicação do caso clínico.
Os autores consideram que este caso reflete várias competências fundamentais do médico de família, nomeadamente a abordagem centrada na pessoa, orientada para o indivíduo e a família; a gestão da doença, que se apresenta de forma indiferenciada, sobretudo na fase precoce da sua história natural; a tomada de decisão; a prestação de cuidados continuados longitudinais, de acordo com as necessidades do utente e da família; e, finalmente, a coordenação da prestação de cuidados. 9
Salienta-se ainda a importância de uma boa articulação entre os cuidados de saúde primários e secundários, de forma que o seguimento do utente seja o mais rápido e eficiente possível.
Contributo dos autores
Conceptualização, PA e SC; metodologia, PA e SC; software, PA; análise formal, PA e SC; investigação, PA e SC; recursos, PA e SC; curadoria de dados, PA e SC; redação do draft original, PA; revisão, validação e edição do texto final, PA, SC e LP. Todos os autores leram e concordaram com a versão final do manuscrito.














