SciELO - Scientific Electronic Library Online

 
vol.37 número1Edema dos tecidos moles em lactente: qual o diagnóstico?Perfuração por Espinha de Peixe: Uma Causa Rara de Abcesso Hepático índice de autoresíndice de assuntosPesquisa de artigos
Home Pagelista alfabética de periódicos  

Serviços Personalizados

Journal

Artigo

Indicadores

Links relacionados

  • Não possue artigos similaresSimilares em SciELO

Compartilhar


Acta Radiológica Portuguesa

versão impressa ISSN 2183-1351versão On-line ISSN 2976-0763

Acta Radiol Port vol.37 no.1 Lisboa abr. 2025  Epub 30-Abr-2025

https://doi.org/10.25748/arp.34637 

Imagens de Interesse

Abdominal Pain in a Female Adolescent: A Diagnosis to Consider

Dor Abdominal numa Adolescente: Um Diagnóstico a Considerar

1Department of Pediatrics, Unidade Local de Saúde de Trás-os-Montes e Alto Douro, Vila Real, Portugal


Abstract

OHVIRA syndrome is a rare congenital female anomaly, characterized by the triad: uterus didelphys, unilaterally obstructed hemivagina and ipsilateral renal agenesis. The authors present a case of a 12-year-old girl with cyclic abdominal pain, scarce catamenia and intense dysmenorrhea refractory to NSAIDs. An abdominal and pelvic computized tomography was carried out which revealed renal agenesis, duplication of the uterus, cervix, and vagina, and hematocolpos, suggesting vaginal obstruction. The prompt treatment allows a clear improvement in the clinical and reproductive prognosis, so the authors emphasize the importance of the knowledge and suspicion of this condition, allowing the diagnosis, referral, and early approach.

Keywords: Congenital defects; Diagnosis; Female genitourinary diseases; OHVIRA syndrome.

Resumo

A síndrome de OHVIRA é uma rara anomalia congénita feminina, caracterizada pela tríade: útero didelfo, hemivagina unilateral obstruída e agenesia renal unilateral. Os autores apresentam um caso de uma menina de 12 anos com dor abdominal cíclica, cataménio escasso e intensa dismenorreia refratária aos AINEs. Foi realizada uma tomografia computorizada que revelou uma agenesia renal, duplicação do útero, colo uterino e vagina, e hematocolpos a sugerir obstrução vaginal. O tratamento precoce permite uma melhoria significativa do prognóstico clínico e reprodutivo, por isso os autores realçam a importância do conhecimento e suspeita desta condição, permitindo um diagnóstico, referenciação e tratamento precoce.

Palavras-chave: Defeito congénito; Diagnóstico; Doenças genitourinárias femininas; Síndrome de OHVIRA.

Case

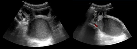
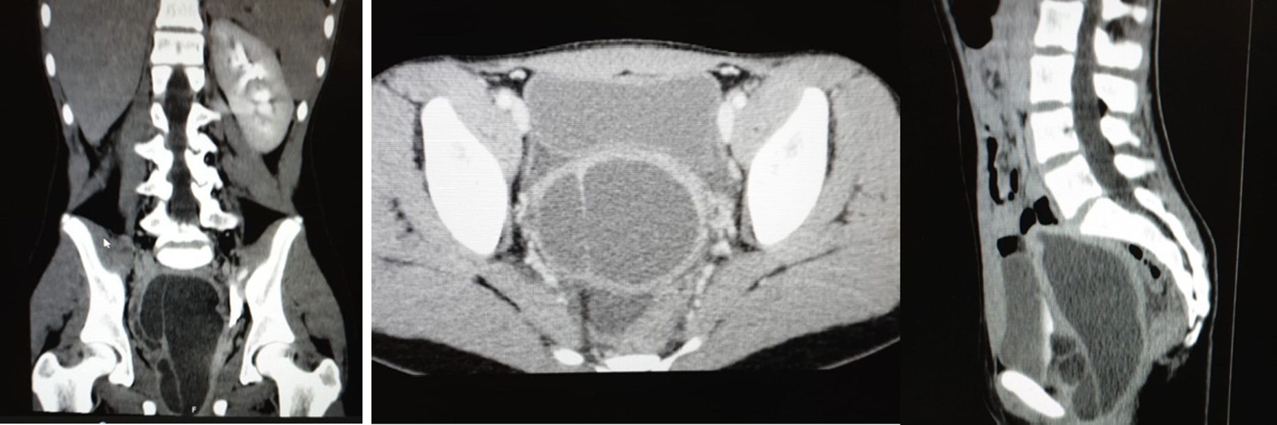
A 12-year-old girl, with an irrelevant medical history, was admitted to the pediatric emergency department with pollakiuria and abdominal and genital pain for two weeks, with worsening in the day before admission. There was a reference to menarche in the six months before, with scarce catamenia and intense dysmenorrhea refractory to NSAIDs. Last catamenia had been two weeks prior to the admission. On physical examination, the lower abdominal quadrants were rigid and painful on palpation and decompression, mainly in the right iliac fossa. An analytical study, urinalysis and pregnancy test were performed, all negative. Therefore, she did an abdominal ultrasound which suggested an hematocolpus (Fig. 1), but could not correctly evaluate the uterus. To better characterization, an abdominal and pelvic computized tomography was carried out which revealed the absence of the right kidney and retroaortic left renal vein, duplication of the uterus, cervix, and vagina, and marked distension of the right hemivagina and endometrial cavity, with hematocolpos, suggesting vaginal obstruction (Fig. 2). Afterwards, she did a renal scintigraphy for a renal morphofunctional assessment, which confirmed a right renal agenesis (Fig. 3). These findings allowed the diagnosis of an OHVIRA syndrome.

Figure 1: Abdominal ultrassound: hematocolpos. 

Figure 2: Abdominal and pelvic computed tomography: right kidney and retroaortic left renal vein agenesis; duplication of the uterus, cervix, and vagina; hematocolpos.  

Figure 3: Renal scintigraphy: right renal agenesis. 

Discussion

OHVIRA syndrome is a rare congenital female anomaly, that results from an abnormal embryological development of the Mullerian and Wolffian ducts.1,2,3 It is characterized by the triad: uterus didelphys, unilaterally obstructed hemivagina and ipsilateral renal agenesis.1,2,3 This syndrome should be considered as a differential diagnosis in female adolescents with dysmenorrhea, abdominal pain, pelvic mass and/or inpatient retention, since it is the typical presention.1,2,3 Also, in female patients diagnosed with renal agenesis, these anomalies should be investigated, even in pre-pubertal stages.3 The prompt diagnosis and surgical treatment allow a clear improvement in the clinical and reproductive prognosis, avoiding late complications, such as endometriosis, pelvic adhesions, and infertility.1,2,3 Thus, we emphasize the importance of the knowledge and suspicion of this condition, allowing the diagnosis, referral, and early approach.

Acknowledgments

We thank the parents of the patient for giving us permission to publish the data.

References

1. Aydin R, Ozdemir AZ, Ozturk B, Bilgici MC, Tosun M. A rare cause of acute abdominal pain: herlyn-werner-wunderlich syndrome. Pediatr Emerg Care. 2014;30:40-42. https://doi:10.1097/0000000000000052. [ Links ]

2. Del Vescovo R, Battisti S, Di Paola V, et al. Herlyn-werner-wunderlich syndrome: MRI findings, radiological guide (two cases and literature review), and differential diagnosis. BMC Med Imaging. 2012; 12:4. https://doi:10.1186/1471-2342-12-4. [ Links ]

3. González Ruiz Y, Delgado Alvira R, Siles Hinojosa A, Izquierdo Hernández B, Rihuete Heras MÁ. Diagnóstico prepuberal del síndrome de OHVIRA: es posible? An Pediatr (Barc). 2019;90:244-245. https://doi.org/10.1016/j.anpedi.2018.04.010. [ Links ]

Ethical Disclosures

Financing Support: This work has not received any contribution, grant or scholarship.

Received: February 11, 2024; Accepted: April 05, 2024

Address Raquel Santos, Department of Pediatrics, Unidade Local de Saúde de Trás-os-Montes e Alto Douro, Lagoeiros Street 43, Vila Real, Portugal, e-mail: raquelssantos30@gmail.com

Conflicts of interest: The authors have no conflicts of interest to declare.

Confidentiality of data: The authors declare that they have followed the protocols of their work center on the publication of data from patients.

Protection of human and animal subjects: The authors declare that the procedures followed were in accordance with the regulations of the relevant clinical research ethics committee and with those of the Code of Ethics of the World Medical Association (Declaration of Helsinki).

Creative Commons License This is an open-access article distributed under the terms of the Creative Commons Attribution License