Introdução
O vírus varicela-zoster (VVZ) é um dos nove herpes vírus capazes de infetar humanos e após a infeção primária estabelece um estado de latência. O gânglio geniculado do nervo facial, o gânglio de Gasser do nervo trigémio e o gânglio da raiz dorsal dos nervos somato-sensitivos são locais comuns onde o vírus pode permanecer. A reativação do vírus pode ocorrer na idade adulta devido a uma queda na imunidade celular produzindo uma variedade de apresentações clínicas.1
Mais de 95% dos indivíduos imunocompetentes com mais de 50 anos são seropositivos para o VVZ e estão, por isso, em risco de desenvolver herpes zoster oticus (HZO). A imunidade celular específica para o VVZ diminui com a idade concomitantemente com o aumento da incidência do HZO e das suas complicações.2 O HZO ou síndrome de Ramsay-Hunt (SRH) foi descrito a primeira vez em 1907 por James Ramsay-Hunt como sendo uma infeção do gânglio geniculado do nervo facial pelo VVZ. Esta síndrome seria caracterizada pela tríada de otalgia, erupção vesicular da concha auricular e paralisia facial periférica ipsilateral.3 Quando a polineuropatia é extensa, comummente envolve a faringe e a laringe, seguido de infeção do nervo recorrente laríngeo, que é particularmente vulnerável devido ao seu longo trajeto.4 Os sintomas principais da sua afeção podem apresentarem-se discretamente como sintomas “silenciosos”: odinofagia e disfonia ligeira, especialmente quando não estão presentes alterações na mucosa faringo-laríngea.5 O agravamento do quadro pode levar a uma subsequente paralisia ipsilateral dos músculos intrínsecos da laringe e da corda vocal causando disfonia e disfagia severas. A disfagia é uma forma de apresentação incomum da HZO e a videoendoscopia da deglutição permite o diagnóstico e controlo/vigilância seriada para uma recuperação motora e sensitiva dos músculos faríngeos após terapêutica antiviral.
A paralisia da corda vocal unilateral tipicamente é acompanhada de uma contração faríngea anormal ipsilateral, atraso na elevação laríngea e estase salivar hipofaríngea, causando aspiração.4 A abordagem diagnóstica deve incluir um exame neurológico detalhado para identificar pares cranianos afetados, investigação laboratorial para confirmar a infeção VHZ e nasofibrolaringoscopia.1 Embora a serologia de convalescença HZV seja útil para confirmar a infeção, anticorpos IgM serológicos só são detetáveis 8-10 dias após o aparecimento de vesículas e podem ser negativos numa minoria dos casos, enfatizando a necessidade frequente de iniciar terapêutica antiviral com base apenas na suspeita clínica.4
Caso clínico
Doente do sexo masculino, 77 anos, autónomo nas atividades da vida diária, com antecedentes pessoais de hipertensão arterial (HTA), dislipidemia, gota, hábitos tabágicos (30 UMA) e etílicos moderados. Recorre ao Serviço de Urgência por quadro clínico de disfonia que inicia 2 dias antes e se agrava com disfagia ligeira para sólidos e líquidos, progressiva, tendo melhorado com analgesia intra-hospitalar. No dia seguinte, de novo, inicia assimetria facial e otalgia esquerda com dor retro auricular e sensação de preenchimento auricular ipsilateral. Foi observado pela equipa de urgência de Otorrinolaringologia que observa uma paralisia facial periférica esquerda grau 3 House Brackmann, hiperemia e espessamento da membrana timpânica esquerda e vesículas herpéticas no pavilhão auricular, pilar amigdalino posterior, hipofaringe e supraglote ipsilaterais à nasofibrolaringoscopia. Foi colhido exsudado auricular e orofaríngeo e o doente é internado no Serviço de Medicina Interna. Dos exames complementares realizados: analiticamente sem leucocitose, PCR 1,25 mg/dL e VS 68 mm. Serologias VIH, HCV e HBV negativos. Exame bacteriológico e micológico do exsudado auricular negativo. LCR: límpido, 171 células, predomínio mononucleadas (97,6%), proteínas totais 85,23 mg/dL, glicose 64 mg/dL (glicémias 91 mg/dL), desidrogenase do lactato 45,00 U/L, PCR VVZ positivo.
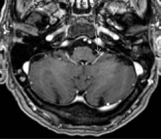
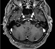
Realiza ressonância magnética crânio encefálica (RM-CE) e de ouvido com injeção de gadolínio, que evidencia realce patológico dos nervos facial, glossofaríngeo e vago esquerdos, de provável natureza inflamatória/infeciosa. Admite-se muito incipiente realce do nervo vestíbulo-coclear esquerdo. Preenchimento da cavidade otomastoideia esquerda, associando-se algum realce dos tecidos moles do ouvido externo esquerdo, de provável natureza inflamatória / infeciosa, cuja ilustração se apresenta nas Figs. 1 e 2.
Durante os dois dias de internamento neste serviço, em que fez aciclovir IV (10 mg/kg 8/8 horas), apresentou um agravamento da paresia facial esquerda e da disfagia e é transferido para o Serviço de Neurologia. À admissão no Serviço, a destacar um agravamento da PFP para grau V, uma assimetria na elevação do véu do palato com ausência de reflexo faríngeo esquerdo. A equipa de Otorrinolaringologia, por nasofibrolaringoscopia documenta encerramento incompleto do palato na fonação e deglutição e paralisia da corda vocal esquerda em abdução, com escape glótico médio. A avaliação audiométrica revela uma perda mista de 15-20 dB nas frequências 1-2 kHz, respetivamente, e um timpanograma tipo B de Jerger à esquerda. A nasofibroscopia revela estase salivar nas valéculas e seios piriformes, sensibilidade laríngea diminuída e sem reflexo de tosse na estimulação das aritenóides. É proposto para colocação de PEG. Foi observado pela Medicina Física e Reabilitação, tendo iniciado programa de reabilitação motora e terapia da fala. Admitiu-se o diagnóstico de síndrome de Ramsay-Hunt com envolvimento do VII, VIII, IX e X pares cranianos e iniciou terapêutica com prednisolona na dose de 1 mg/kg que cumpriu durante 14 dias, iniciando posteriormente a redução faseada da mesma. Durante o internamento de 43 dias não se registaram intercorrências e a evolução clínica foi favorável, tendo alta encaminhado para as consultas de Neurologia, Oftalmologia, Otorrinolaringologia e Medicina Física e Reabilitação (MFR). Em Junho do mesmo ano, 4 meses após a alta, em consulta de Disfagia ORL - é objetivada uma franca melhoria clínica, alimentando-se sem limitações, sem estase salivar e sem alterações da qualidade vocal. Em RM-CE de reavaliação em Outubro, 8 meses após a alta evidencia resolução quase completa das alterações de natureza inflamatória envolvendo a mastoide esquerda, com evolução favorável do realce anómalo do feixe vestíbulo-coclear e, parcialmente, do nervo facial esquerdo. Em Junho do ano seguinte 16 meses após o início do quadro, em consulta de Neurologia, é objetivada melhoria da PFP, porém com resolução incompleta - HB III e já com recuperação completa da queratite de exposição do olho esquerdo.
Discussão
O diagnóstico de infeção por VHZ é baseado na história clínica e ao exame físico é na maioria dos casos encontrado um rash patognomónico zosteriforme.
Contudo, na polineuropatia pode-se apresentar um interessante dilema diagnóstico, uma vez que o envolvimento dos diferentes pares cranianos pode ocorrer em diferentes intervalos de tempo. Em 14%-33% dos casos, as lesões cutâneas apenas se tornam evidentes após o défice neurológico estar presente, ou nem sequer ocorrerem (herpes zone herpete). Noutros casos, as lesões herpéticas podem desaparecer com o desenvolvimento dos défices neurológicos, causando dificuldade diagnóstica.6 O diagnóstico de SRH com polineuropatia é frequentemente confundido com doenças de maior severidade, resultando numa extensa e morosa investigação diagnóstica, incluindo neuroimagem e punção lombar, atrasando o início da terapêutica apropriada.
Contudo, estes dois exames serão úteis para excluir acidente vascular cerebral (AVC), encefalite, doenças autoimunes (miastenia gravis e sarcoidose), osteomielite da base do crânio, doença de Lyme e doenças neurodegenerativas.7 O timing da terapêutica antiviral prende-se com a sua farmacoterapia, uma vez que a atividade antiviral é baseada na inibição da síntese do ADN viral. Assim, só é efetiva quando o VHZ se estiver a multiplicar.6 Em doentes imunocompetentes, a fase aguda dura 7-10 dias e a duração da terapêutica será equivalente. Porém, em doentes imunocomprometidos, a fase aguda é prolongada para 10-14 dias ou mais, sendo o uso de antivirais indicada enquanto houver progressão dos sintomas, cutâneos, mucosos, oculares ou neurológicos. A SRH afeta maioritariamente o 7º e o 8º pares em 60% das vezes, o 5º e 7º pares em 28% e o 5º, 7º e 8º em 8% dos casos.
O envolvimento do 9º e 10º pares é relatado em <3% dos casos, sendo ainda menos frequente o fenómeno de paralisia dos músculos extraoculares decorrente da afeção do 3º, 4º e 6ºs pares.6 Os mecanismos de transmissão neuropática propostos incluem invasão direta por trajetos anastomóticos perineurais ou vasculares, por efeito citopatogénico direto no tecido neural adjacente, resposta alérgica tecidual ao VVZ ou por vasculite oclusiva.4 No que diz respeito à recuperação neurológica, de acordo com um estudo de larga escala,9 a taxa de recuperação completa da paralisia facial em doentes com e sem polineuropatia foi de 27,3% e 67,7%, respetivamente. A vacinação para HZ é um método eficaz e seguro para a prevenção da doença em doentes selecionados. Em 2015 a vacina viva atenuada (VVA) foi aprovada em Portugal e, mais recentemente, em 2022 foi aprovada a vacina recombinante (VR). Na sua generalidade, os estudos comparativos entre as duas vacinas demonstram uma superioridade na eficácia da VR, tanto a nível da infeção como na nevralgia pós-herpética.8 Em conclusão, a apresentação de VVZ com polineuropatia é rara, pode trazer dificuldade e atraso diagnóstico e várias sequelas. Uma abordagem multidisciplinar envolvendo a Neurologia, a Otorrinolaringologia, a MFR é de pilar importância para obter o melhor prognóstico. A prevenção e a atenuação do VVZ e das suas complicações são cada vez mais possíveis para a maioria dos doentes e o aumento do conhecimento sobre a doença para a população e para os clínicos poderá ter um impacto significativo na sua epidemiologia.
















