SciELO - Scientific Electronic Library Online

 
vol.32 número1Síndrome de DRESS: Uma Revisão Baseada num Caso ClínicoCausa Rara de Disfunção Ventricular Esquerda em Adultos índice de autoresíndice de assuntosPesquisa de artigos
Home Pagelista alfabética de periódicos  

Serviços Personalizados

Journal

Artigo

Indicadores

Links relacionados

  • Não possue artigos similaresSimilares em SciELO

Compartilhar


Medicina Interna

versão impressa ISSN 0872-671X

Medicina Interna vol.32 no.1 Lisboa mar. 2025  Epub 15-Abr-2025

https://doi.org/10.24950/rspmi.2375 

CASE REPORTS/ CASOS CLÍNICOS

PoCUS Enhanced Physical Examination in the Diagnosis of a Silent Appendicitis

O Uso do Exame Físico Alargado por PoCUS no Diagnóstico de uma Apendicite

Bernardo Silva1 
http://orcid.org/0000-0002-6622-9217

Jossymar Otero-González2 

Ángel Robles Marahuenda3 
http://orcid.org/0000-0003-1156-2570

José Pedro Manata1 
http://orcid.org/0000-0001-8648-0460

Yale Tung-Chen3 
http://orcid.org/0000-0002-5613-3609

1Internal Medicine Department, Unidade Local de Saúde Lezíria, Hospital Distrital de Santarém, Santarém, Portugal

2Nuclear Medicine Department, La Paz University Hospital, Madrid, Spain

3Internal Medicine Department, La Paz University Hospital, Madrid, Spain


Abstract

Acute abdomen is an abdominal pain of abrupt onset, comprising a vast group of diagnoses. Appendicitis, included within this group of diseases, is the most common surgical abdominal emergency worldwide and can lead to high mortality and morbidity. Although this diagnosis is clinical, there are some cases where it is difficult to distinguish from the different abdominal conditions.

The use of ultrasound (US) in the emergency department (ED) has become widespread. However, given the time constraint and patients' critical conditions, there is a need for a focused and specific approach according to patients' symptoms. Therefore, point-of-care augmented clinical exam (PACE) has assumed an increasingly important role, namely in the acute abdomen, because it allows early recognition and diagnosis and consequently prompt initiation of interventions.

We describe the case of a patient with an acute abdomen in which PACE, performed by an experienced professional, helped to diagnose appendicitis despite all other complementary exams being normal.

Keywords: Appendicitis/diagnostic imaging; Point-of-Care Systems; Ultrasonography.

Resumo

O abdómen agudo define-se como uma dor abdominal súbita e abrange um vasto grupo de diagnósticos. A apendicite, compreendida dentro deste conjunto de patologias, é a emergência abdominal cirúrgica mais frequente no mundo e pode resultar em elevada mortalidade e morbilidade. Apesar do seu diagnóstico ser clínico, há alguns casos em que é difícil distinguir dos diferentes quadros de dor abdominal.

O uso da ecografia no Serviço de Urgência tornou-se muito frequente, mas, considerando a problemática da potencial demora na realização deste exame e a condição crítica de alguns pacientes, é necessária uma abordagem focada e específica para os sintomas apresentados. Assim sendo, o point-of-care ultrasound augmented clinical exam (PACE) tem assumido uma importância progressivamente maior, nomeadamente no abdómen agudo, visto permitir o reconhecimento e diagnóstico precoces e, consequentemente, a iniciação célere das medidas terapêuticas necessárias.

Descrevemos o caso de uma paciente com abdómen agudo no qual o PACE, realizado por um profissional experiente, ajudou no diagnóstico de apendicite apesar dos restantes exames complementares de diagnóstico serem normais.

Palavras-chave: Apendicite/diagnóstico por imagem; Ecografia; Sistemas Point of Care.

Introduction

Acute abdomen is an abdominal pain of abrupt onset, comprising a vast group of diagnoses, from a self-limiting illness to a life-threatening condition.1

Appendicitis, included within this group of diseases, is the most common surgical abdominal emergency worldwide and is caused by appendicular lumen obstruction, which can lead to high mortality and morbidity.1,2Although this diagnosis is clinical, there are some cases where it is difficult to distinguish from the different acute abdominal conditions.3

The use of ultrasound (US) in the emergency department (ED) has become widespread, but given the time constraint and patients' critical conditions, there is a need for a focused and specific approach according to patients' symptoms.4,5

Therefore, point of care ultrasound (PoCUS) has assumed an increasingly important role, namely in the acute abdomen, when there is no clinical consensus because it allows early recognition and diagnosis and consequently prompt initiation of interventions.5

Nevertheless, it is crucial that PoCUS practitioners have a structured, planned and validated learning process so that this tool can enhance patient observation and point-of-care ultrasound augmented clinical exam (PACE) can integrate routine physical examination.

We describe the case of a patient with an acute abdomen in which PACE, performed by an experienced professional, helped to diagnose appendicitis despite all other complementary exams being normal.

Case Report

A 21-year-old woman, without relevant past medical his-tory or chronic medication, presented to the ED with acute epigastric pain, which irradiated to the right iliac fossa over the week before. She had no nausea or history of vomiting.

Vital signs revealed a blood pressure of 142/73 mmHg, heart rate of 103 beats/min and oxygen saturation of 100% on room air. On physical examination, the patient presented a depressible abdomen with no palpable masses, and Blumberg, McBurney and Murphy’s signs were absent. However, she complained of progressive increasing epigastric pain with right iliac fossa irradiation and without relief factors. Blood samples (including blood count, C reactive protein, bilirubin, AST, ALT) with HCG dosing were collected, and vaginal ultrasonography was performed, all without detectable alterations.

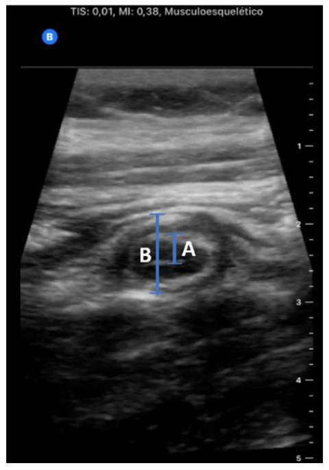
In this context, the patient was discharged home with paracetamol 1 g, three times a day, and dexketoprophen 20 mg, three times a day. However, one day later, the patient returned to the ED with abdominal pain intensification, though she maintained the same physical examination and laboratory exams. This time, an internal medicine doctor observed the patient, who performed PACE, which revealed an increased appendix diameter with noncompressible tubular structure and distorted irregular mucosa, suggestive of acute appendicitis (Fig. 1). She had no signs of ascites, nor hydronephrosis and her vaginal ultrasonography resulted without pathological alterations. Consequently, an abdominal ultrasound was performed by a radiologist, confirming the diagnosis of appendi-citis, and the patient had undergone surgery.

Figure 1: Ultrasound of the appendix, showing acute appendi-citis signs; A- Appendix wall (≈4 mm); B - Appendix diameter (≈10 mm) 

Discussion

Appendicitis is the most common surgical abdominal emergency worldwide, affecting 100 cases out of 10 000 inhabitants/year in Europe and the United States. It is caused by appendicular lumen obstruction, which leads to wall inflammation, ischemia, necrosis, and, if not treated, appendix perforation in almost 30% of the cases.1-3Therefore, early diagnosis and rapid surgical treatment are critically important to reduce morbidity and cost of care.2

However, the clinical diagnosis of acute appendicitis can be complex and confusing due to similar presentation and symptoms of several abdominal conditions, such as diverticulitis, acute Crohn’s disease, and infectious enterocolitis. In addition, acute genitourinary disorders, like pyelonephritis and ureterolithiasis, may also mimic symptoms and, in young women, acute gynecological diseases such as ovarian torsion, hemorrhagic ovarian cyst, pelvic inflammatory disease, and ectopic pregnancy must also be considered.2

The use of US in ED, performed both by radiologists and bedside clinicians, has become widespread, and consequently, it can be of great help in these cases.4 An acute appendicitis diagnosis is quite simple to be performed using ultrasonography since some easy direct signs allow its recognition: non-compressibility of the appendix, diameter > 6 mm, single wall thickness ≥ 3 mm, presence of the target sign (hypoechoic fluid-filled lumen, hyperechoic mucosa/submucosa and hypoechoic muscularis layer), the presence of an appendicolith and colour doppler and contrast-enhanced US showing hypervascularity of the wall in early stages (also called “ring of fire” edema).5 Nevertheless, considering time constraints and critical conditions of some ED patients, the US should be focused and specific to patient symptoms, as is done in the PACE approach.6

PACE is a targeted ultrasound investigation performed and interpreted by the physician at the bedside as part of the clinical examination, allowing early recognition, diagnosis and prompt interventions.6 In this context, the US is used to answer specific clinical questions and according to Al Ali, Jabbour and Alrajaby, the usefulness of applying this technique in a systematic method, using specific protocols, increases the sensitivity and specificity of physicians assessment, composing the fifth pillar of physical examination.1,6

With this in mind, a systematic PACE protocol must be established so that all bedside physicians use it in the same way and to ensure the correct use of this technique to be a safe and advantageous tool for patient care.

In the presented case, the protocol used was based on scanning the abdominal wall area where the patient reported more pain in search of the appendix. After this, the compressibility of the appendix was checked, and its walls and diameter were measured. According to this protocol, diagnosis can be made when a non-compressible appendix is detected with either a single wall thickness of 3 mm (or more) or an appendix diameter greater than 6 mm - all criteria were present in this case.

Conclusion

PACE was crucial for appendicitis diagnoses in the case reported. With this case, we pretend to enhance the importance of integrating PACE in routine physical examinations and to get a well-established protocol and a way of regulating the practice of this technique.

REFERENCES

Khan MAB, Abu-Zidan FM. Point-of-care ultrasound for the acute abdomen in the primary health care. Turk J Emerg Med. 2020;20:1-11. doi: 10.4103/2452-2473.276384. [ Links ]

Al Sheikh S, Al Ali M, Kiran DS, Al Tabatabai M. How POCUS picks up a rare mimickers of acute appendicitis in the emergency department. Ultrasound J. 2020;12:2. doi: 10.1186/s13089-020-0151-6. [ Links ]

Fortea-Sanchis C, Forcadell-Comes JE. Rentabilidad de la ecografía abdominal para el diagnóstico de apendicitis aguda. Análisis global y por subgrupos. Rev Gastroenterol México. 2020;85:12-7. doi:10.1016/j.rgmx.2018.11.010 [ Links ]

Lentz B, Fong T, Rhyne R, Risko N. A systematic review of the cost-effectiveness of ultrasound in emergency care settings. Ultrasound J. 2021;13:16. doi: 10.1186/s13089-021-00216-8. [ Links ]

Mostbeck G, Adam EJ, Nielsen MB, Claudon M, Clevert D, Nicolau C, et al. How to diagnose acute appendicitis: ultrasound first. Insights Imaging. 2016;7:255-63. doi: 10.1007/s13244-016-0469-6. [ Links ]

Al Ali M, Jabbour S, Alrajaby S. Acute abdomen systemic sonographic approach to acute abdomen in emergency department: a case series. Ultrasound J. 2019;11:22. doi: 10.1186/s13089-019-0136-5. [ Links ]

Contributorship Statement BS - Drafting and revising the manuscript JOG, ARM, PM, YTS - Revision of the manuscript All authors approved the final version to be published. Declaração de Contribuição BS - Elaboração e revisão do manuscrito JOG, ARM, PM, YTS - Revisão do manuscrito Todos os autores aprovaram a versão final a ser publicada.

Conflicts of Interest: The authors have no conflicts of interest to declare.

Financing Support: This work has not received any contribution, grant or scholarship.

Confidentiality of Data: The authors declare that they have followed the protocols of their work center on the publication of data from patients.

Patient Consent: Consent for publication was obtained

Provenance and Peer Review: Not commissioned; externally peer re-viewed.

Conflitos de Interesse: Os autores declaram a inexistência de conflitos de interesse na realização do presente trabalho.

Fontes de Financiamento: Não existiram fontes externas de financiamento para a realização deste artigo.

Confidencialidade dos Dados: Os autores declaram ter seguido os protocolos da sua instituição acerca da publicação dos dados de doentes

Consentimento: Consentimento do doente para publicação obtido.

Proveniência e Revisão por Pares: Não comissionado; revisão externa por pares.

© Author(s) (or their employer(s)) and SPMI Journal 2025. Re-use permitted under CC BY-NC 4.0. No commercial re-use. © Autor (es) (ou seu (s) empregador (es)) e Revista SPMI 2025. Reutilização permitida de acordo com CC BY-NC 4.0. Nenhuma reutilização comercial.

Received: October 24, 2023; Accepted: January 26, 2024

Corresponding author/ Autor correspondente: Bernardo Silva - bernardo.m.l.silva@gmail.com Internal Medicine Department, Unidade Local de Saúde Lezíria, Hospital Distrital de Santarém, Santarém, Portugal Av. Bernardo Santareno, 2005-177 Santarém

Creative Commons License This is an open-access article distributed under the terms of the Creative Commons Attribution License