SciELO - Scientific Electronic Library Online

 
vol.20 número4Management of spontaneous carotid artery rupture: navigating life-threatening challenges and persistent risksRadial artery stripping following radial access for coronary angiography índice de autoresíndice de assuntosPesquisa de artigos
Home Pagelista alfabética de periódicos  

Serviços Personalizados

Journal

Artigo

Indicadores

Links relacionados

  • Não possue artigos similaresSimilares em SciELO

Compartilhar


Angiologia e Cirurgia Vascular

versão impressa ISSN 1646-706X

Angiol Cir Vasc vol.20 no.4 Lisboa dez. 2024  Epub 31-Jan-2025

https://doi.org/10.48750/acv624 

Case report

In-situ needle fenestration technique for preserving the left subclavian artery in emergent TEVAR

1 Serviço de Angiologia e Cirurgia Vascular; ULS Vila Nova de Gaia/Espinho, Portugal

2 Klinik für Gefäßchirurgie - St. Franziskus-Hospital Münster, Germany


Abstract

Background:

Open aortic repair is the gold standard in the treatment of diseases involving the aortic arch, but high-risk patients are often not suitable candidates for surgical repair. Thoracic endovascular aortic repair (TEVAR) is less invasive; however, endovascular repair including the aortic arch remains a challenge.

LSA revascularization is linked with reduced risk of cerebrovascular events, spinal cord ischemia, and upper limb ischemia at the cost of complications associated with carotid-subclavian bypass. In-situ fenestration (ISF) seems an effective, safe, and feasible method for the totally endovascular aortic arch repair avoiding the risks associated with bypass surgery. This technique allows for rapid, “off-the-shelf” repair of arch lesions with minimal physiologic disturbances and lower perioperative complications.

Case report:

An 86-year-old man is admitted to the emergency room due to chest pain and hoarseness. There was a previous medical history of TEVAR (proximally implanted in zone 3) for penetrating thoracic aortic; 8 months prior. Computed tomography angiography revealed aneurysmal dilation of the lesser curvature of the aortic arch with a maximum diameter of 65mm. The patient was submitted to TEVAR with proximal sealing in zone 2 of the arch (Ankura™ stent-graft) and revascularization of the left subclavian artery (LSA) was achieved using an ISF by needle fenstration with the deployment of a balloon-expandable covered stent. No complications were registered. Patient initiated broad spectrum antibiotics and underwent positron emission tomography revealing several metabolically active lymph nodes suggesting underlying neoplasm.

Conclusion:

ISF, due to its relative simplicity, is also suitable in urgent and emergent settings. It is a simple, quick technique to be added to our arsenal of endovascular procedures on the aortic arch. It may avoid the carotid-subclavian bypass as well as intentional embolization of the LSA in urgent/emergent patients. Prospective studies with long-term clinical follow-up are still lacking to fully assess the durability of these fenestrations.

Keywords: Thoracic aortic aneurysm; endovascular repair; TEVAR; In situ Fenestration; Left subclavian artery fenestration

Background

Open aortic repair is the gold standard in the treatment of diseases involving the aortic arch, but high-risk patients are often not suitable candidates for surgical repair. Thoracic endovascular aortic repair (TEVAR) is less invasive; however, endovascular repair including the aortic arch remains challenging.1

Left subclavian artery (LSA) management generated a lot of debate since the beginning of the TEVAR era.2 LSA revascularization is associated with decreased risks of cerebrovascular accidents, spinal cord ischemia (SCI), and left upper limb ischemia but at the cost of worrying local complications.2In-situ fenestration (ISF), combines several attractive aspects: it is an anatomical anterograde reconstruction and thus mimics open repair, it is an intuitive technique because it is based on simple technical steps, and it is versatile for urgent/emergent scenarios.2

Case report:

An 86-year-old man is admitted to the emergency room due to chest pain and hoarseness for two days.

The patient had a prior medical history of a TEVAR (proximally implanted in Zone 3) performed eight months before. This procedure treated a penetrating aortic ulcer (PAU) in contact with the apico-posterior segment of the left upper lobe bronchus, Figure 1.

At admission, the patient was normotensive but tachycardic, and referred chest pain with pleuritic characteristics. Laboratory findings showed a normocytic normochromic anaemia with 11g/dl of haemoglobin, normal white blood count and elevated C reactive protein of 151 mg/l. Computed tomography angiography (CTA) was ordered revealing an aneurysmal dilation of the lesser curvature of the aortic arch with a maximum diameter of 65mm, Figure 2. Despite having no clear signs of rupture, or apparent recurrence of aortobronchial fistula, the rapid growth of the aortic arch aneurysm and its saccular morphology prompted the urgent treatment. The patient was submitted to urgent TEVAR with proximal sealing in zone 2 of the arch using a LifeTech® Ankura™ stent-graft. With the patient under general anaesthesia and anticoagulated with 70mg/kg of unfractionated heparin, a percutaneous access was made on the common femoral artery (CFA) of both groins; a 5-French introducer was placed on the right CFA, and after pre-closure using the Abbot’s® Prostar™ XL on the left CFA, the 24-French delivery system was advanced and the thoracic stent graft (LifeTech® Ankura™ TAA4238B160) was deployed proximally in zone 2 of the aortic arch.

A surgical arterial cutdown was performed at the brachial artery, and an 8-French steerable sheath was placed (Lifetech® FuStar™) at the level of the left subclavian artery (LSA) origin. A LifeTech® FluThrough™ 20-gauge needle system was used to achieve a fenestration at origin of the LSA. The fenestration was enlarged with 6mm and 8mm non-compliant balloons and was finalized with the deployment of a balloon-expandable covered stent (Gore® Viabahn Ballon-Expandable™), Figure 3. Completion angiography showed patency of the LSA and no apparent endoleaks.

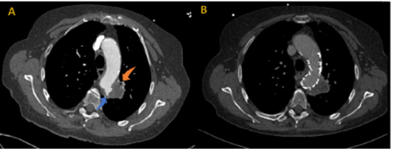
Figure 1 Pre and post operative axial computed tomography angiography images. 

Axial image showing PAU of the thoracic aorta (blue arrow) and its connection with the apicoposterior segment of the left upper lobe bronchus (orange arrow). (B) Post-operative CT scan after TEVAR excluding PAU.

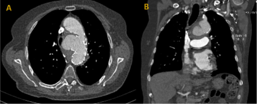
Figure 2 Pre-operative axial (A) and coronal (B) computed tomography angiography image of aneurysm of the aortic arch with loss of proximal seal of the previously implanted stent graft. 

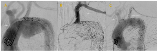
Figure 3 Intra-operative angiograms. 

(A) Shows the loss of priximal seal of of previosuly implanted graft. (B) After achieving proximal seal, a sheath was inserted through the LSA perpincidular to the greater curvature of the aortic arch. (C) After punctering the endograft and dilation of the fenestration, a balloon-expandable covered stent is placed with exclusion of the arch lesion.

No complications were registered and there was a significant improvement in the patient’s previous symptomatology. Patient initiated broad spectrum antibiotics and underwent positron emission tomography (PET) revealing several metabolically active lymph nodes suggesting an underlying neoplasm, Figure 4. The patient was transferred to the area hospital on the eleventh day post-surgery to study underlying disease further.

Figure 4 Positron emission tomography scan showing metabolic activity in para-aortic lymph nodes and the aortic wall. 

Discussion

LSA revascularization is linked with reduced risk of cerebrovascular events, spinal cord ischemia, and upper limb ischemia at the cost of complications associated with carotid-subclavian bypass.

The ISF technique allows for rapid, “off-the-shelf” repair of arch lesions with minimal physiologic disturbances and lower perioperative complications. Studies suggest that nearly two thirds of patients being submitted to zone 2 TEVAR would have adequate anatomy for ISF. According to the literature, ISF may be a feasible technique for up to 61% of patients,2 and the main limitation of this method is the LSA angulation.1,2 Studies suggest that an LSA angle greater than 34° yielded an almost 80% positive predictive value in feasibility of ISF.2

The success rate of patients selected for ISF has been reported to be above 95%.3 Similar outcomes are reported, whether a laser or needle are used to achieve the fenestration, with similar success rates and patency of fenestrated vessel at follow-up.4 Albeit rare, the main complications associated with this procedure were stroke, retrograde dissections, type 1c, and 3c endoleaks1,3,5 The chance of a complication happening depended on the number of fenestrations performed, however, the complexity of arch diseases is likely to be the leading cause of higher complications in multivessel laser fenestration cases.3

One primary concern about this procedure is the durability of the stent-graft fabric after fenestration. However, there are still no long-term studies providing data about this issue.1

Compared to other techniques, such as the chimney technique, limited information is available. Both methods appear safe and effective, nonetheless, the ISF technique has a lower incidence of endoleaks but comes with increased complexity.6

In conclusion, ISF is a viable and efficient method to extend proximal landing zone during TEVAR. It has been associated with high technical success and low fenestration related morbidity. Due to its relative simplicity, its usage is also suitable in urgent and emergent settings. ISF is a simple, quick technique to be added to our arsenal of endovascular procedures on the aortic arch. It may avoid the carotid-subclavian bypass as well as intentional embolization of the LSA in urgent/emergent patients. Prospective studies with long-term clinical follow-up are still lacking to fully assess the durability of these fenestrations.

Acknowledgments

None

Conflicts of interest

None

Funding

None

Data availability

By request to authors

Ethics Approval

Not applicable

Informed Consent

Written Informed consent was obtained from the patient

Declaration of Generative AI and AI-Assisted Technologies in the Writing Process

Not applicable

References

1. Li HL, Chan YC, Jia HY, Cheng SW. Methods and clinical outcomes of in situ fenestration for aortic arch revascularization during thoracic endovascular aortic repair. Vascular. 2020;28:333-41. [ Links ]

2. Piffaretti G, Franchin M, Gnesutta A, Ferlanga B, Orrico M, Mariscalco G, et al. Anatomic Feasibility of In-Situ Fenestration for Isolate Left Subclavian Artery Preservation during Thoracic Endovascular Aortic Repair Using an Adjustable Needle Puncturing System. J Clin Med. 2024;13:162 [ Links ]

3. Li C, Xu P, Hua Z, Chen M, Zhang X, Li Y, et al. Early and midterm outcomes of in situ laser fenestration during thoracic endovascular aortic repair for acute and subacute aortic arch diseases and analysis of its complications. J Vasc Surg. 2020;72:1524-33. [ Links ]

4. Wang X, Wu J, Zhi K, Xu W, Liu M, Zhang Y, et al. Comparative effectiveness and safety of laser, needle, and "quick fenestrater" in in situ fenestration during thoracic endovascular aortic repair. Front Cardiovasc Med. 2023;10:1-8. [ Links ]

5. Yu Z, Hu S, Wang D, Yang T, Lang D. Early and midterm outcomes of in situ fenestration via adjustable puncture needle for Ankura aortic stent graft: A single-center experience. Vascular. 2024; 32:964-72 [ Links ]

6. Ye P, Miao H, Zeng Q, Chen Y. Comparison of total percutaneous in situ microneedle puncture and chimney technique for left subclavian artery fenestration in thoracic endovascular aortic repair for type B aortic dissection. Eur Radiol. 2024;34:7136-44 [ Links ]

Received: May 16, 2024; Accepted: October 09, 2024

Corresponding Author: João Peixoto | joaodesousapeixoto@gmail.com ULS Vila Nova de Gaia/Espinho - Hospital Eduardo Santos Silva R. Conceição Fernandes S/N, Vila Nova de Gaia

Creative Commons License This is an open-access article distributed under the terms of the Creative Commons Attribution License