Case Report
A 51-year-old immunocompetent man presented with one-year history of progressive right ear dull pain and hearing loss. The patient reported no history of previous head trauma, surgery or radiation.
A plain high-resolution temporal bone computed tomography (CT) scan was obtained. A unilateral soft tissue attenuating lesion was present in the posterior-inferior aspect of the right external auditory canal (EAC). Using the bone window setting, it was possible to visualise an area of focal bone erosion of the EAC associated with small bone flecks sequestered within the mass. It is important to note the facial nerve canal and mastoid cells were preserved.
The patient was successfully submitted to a canaloplasty, removing the lesion.(Fig. 1)

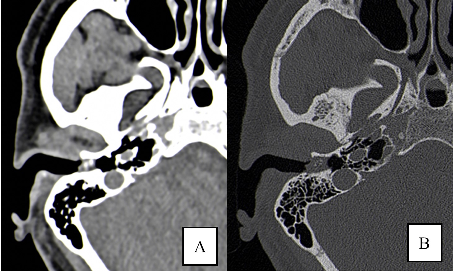
Figure 1: (A) High-resolution CT of temporal bone in axial section depicts a lesion of the right EAC on the soft tissue window setting. (B) High-resolution CT of temporal bone in axial section depicts a lesion of the right EAC on a narrowed window width setting. There is erosion of posterior wall and bony sequestrum within the lesion.
Discussion
An EAC cholesteatoma is an inflammatory lesion containing defoliating keratin lined by keratinized stratified squamous epithelium with associated periostitis and bone erosion. Such lesion is rare compared to the middle ear cholesteatoma, with an overall incidence rate of 0.30 per year per 100,000 inhabitants.1
Cholesteatoma can be classified according to aetiology as idiopathic and secondary forms (poststenotic, posttraumatic, postinflammatory, radiogenic, postobstructive, and posttumorous). The idiopathic form usually presents on the floor of the EAC, whereas the secondary form can occur in any other aspect of the canal.2
The clinical presentation is usually an elderly man with otorrhoea and chronic dull pain. Conductive hearing loss is usually minimal.1
Radiological evaluation followed by surgical confirmation leads to correct diagnosis and staging. High-resolution temporal bone CT scan is the imaging modality of choice when cholesteatoma is clinically suspected.3
EAC cholesteatoma presents on CT as a sharply marginated expansile soft tissue attenuating lesion with bone erosions and small bone flecks within the lesion. These bone flecks are better visualized in narrow window width settings (Fig. 2).3

Figure 2: Coronal temporal bone CT image shows an EAC cholesteatoma as a soft-tissue mass in the inferior EAC, with associated erosion of the subjacent bone and small bone flecks inside the lesion.
In this case, the middle ear cavity and the facial nerve canal are uninvolved (3mm distance) and is classified as Stage I according to the CT classification system of Shin et al. (stage I - cholesteatoma of the EAC only; stage II: invasion of the tympanic membrane and the middle ear; stage III: involvement of the mastoid air cells; stage IV: lesions beyond the temporal bone).3
The management of the EAC cholesteatoma depends on the extent of the lesion, which should be assessed by CT. Canaloplasty is indicated for stage I lesions and it was performed in our case. Advanced stages may require a more radical approach with mastoidectomy or petrosectomy (Fig. 3).3

Figure 3: High-resolution CT of temporal bone in axial section depicts a lesion of the right EAC. Note the posterior bone erosion, without involvement of the mastoid air cells or the facial nerve canal (arrow).
Other differential diagnoses include inflammatory, infective (malignant otitis externa), and neoplastic processes (squamous cell carcinoma). The keratosis obturans (KO) is the most closely related condition and difficult to distinguish based only on otoscopic examination. However, KO presents as a soft tissue plug in the bilateral EACs, without focal bone erosion of the canals.4
In summary, the radiologist should be aware of the main clues to the diagnosis such as the presence of a well-defined soft tissue attenuating lesion in the EAC with bone wall erosions and small bone flecks inside the lesion being the main CT features of EAC cholesteatoma.














