INTRODUÇÃO
A pneumonia, do grego “Pneumon”, é uma doença onde a totalidade ou parte dos alvéolos estão preenchidos com líquido e eritrócitos, reduzindo a compliance pulmonar e/ou da caixa torácica e aumentando a frequência respiratória, reduzindo o volume corrente e o índice ventilação-perfusão(1-5). Caracterizada por um padrão restritivo, onde há diminuição na capacidade do volume inspirado, as causas da pneumonia podem ter origem em agentes patogénicos; agentes químicos; agentes físicos; e perturbações da circulação sanguínea(1-3,6).
Esta doença é a segunda principal causa de morte em Portugal, a seguir ao cancro do pulmão, e é o principal motivo de internamento por doença respiratória(7). A idade superior ou igual a 75 anos, residir num lar, ter uma doença cerebrovascular e/ou cardíaca, insuficiência renal, demência, menor mobilidade, caquexia, doença metastática ou sépsis na admissão hospitalar, são comorbilidades que aumentam o risco de morte por pneumonia no internamento(6,7).
Comumente, a pessoa com pneumonia apresenta dor torácica, dispneia, febre, expetoração e presença de ruídos adventícios na auscultação pulmonar, mais intensos na fase inspiratória. O diagnóstico é realizado através da história clínica da pessoa e da sua avaliação física, da radiografia torácica, análises laboratoriais e isolamento dos agentes etiológicos a partir da expetoração. A radiografia torácica é essencial por conferir informações acerca do parênquima pulmonar, mediastino, partes moles e estruturas ósseas, permitindo avaliar a extensão da doença e distingui-la de outros processos infeciosos. No entanto, os resultados radiológicos não são suficientemente específicos para definir a sua origem, sendo necessário obter o diagnóstico etiológico através das análises laboratoriais e do exame bacteriológico da expetoração(1,2,5,6).
O tratamento da pneumonia deve ser complementado com a realização de exercícios de Reeducação Funcional Respiratória [RFR], sendo que a identificação do estadio da doença é necessária para definir a intervenção de RFR a seguir(4,5). Numa fase inicial, o tratamento tem como objetivo diminuir o índice ventilação-perfusão, reverter a diminuição de volume nos segmentos pulmonares adjacentes e prevenir atelectasias. À medida que a pneumonia progride, a consolidação pulmonar acaba por reduzir e a tosse torna-se produtiva, sendo necessário realizar intervenções para uma limpeza das vias aéreas eficaz(2,4,5).
Neste sentido, torna-se clara a importância da intervenção do Enfermeiro Especialista em Enfermagem de Reabilitação [EEER], enquanto profissional que apresenta competências para conceber, implementar e monitorizar planos de Enfermagem de Reabilitação [ER] diferenciados e baseados nos problemas reais e potenciais das pessoas(8).
Um plano terapêutico que englobe sessões de RFR, apresenta um efeito benéfico tanto no prognóstico da doença, como na redução do número de exacerbações e menor mortalidade(5). Neste sentido, foi desenvolvido o presente Estudo de Caso acerca de uma pessoa com pneumonia, internada num serviço de medicina interna. Tendo em conta a morbilidade e mortalidade associadas a esta doença respiratória, este caso clínico torna-se ainda mais relevante e interessante, permitindo uma análise aprofundada dos resultados obtidos e realizando um paralelismo com a evidência científica mais recente.
Perante o supracitado, apresenta-se a questão norteadora do presente estudo de caso: “Qual é o contributo do EEER na função respiratória da pessoa com pneumonia?”.
Definiu-se então como objetivo geral do estudo: identificar os resultados sensíveis de um plano terapêutico que englobou sessões de RFR, realizado por um EEER, dirigido à pessoa com pneumonia. Para tal, definiram-se como objetivos específicos da intervenção do EEER: Identificar alterações da funcionalidade respiratória da pessoa cuidada; Realizar uma avaliação diagnóstica de ER; Planear intervenções de ER; Implementar intervenções de ER; Avaliar os resultados dos cuidados de ER; Avaliar a eficácia da implementação de um programa de RFR.
METODOLOGIA
O estudo de caso consiste num método de pesquisa, que permite ao investigador estudar fenómenos individuais ou em grupo, em contextos reais. Sendo uma pesquisa empírica quando os limites entre um fenómenos e o contexto não são evidentes, o objetivo é o de explorar, descrever e explicar um evento com base no problema de investigação, compreendendo um fenómeno(9).
Assim, ao encontro ao supracitado e recorrendo também aos referenciais de Yin e Stake, o presente estudo encontra-se estruturado em seis etapas: Definição do problema; Definição do caso; Fundamentação teórica; Elaboração do protocolo de estudo; Colheita de dados; Análise e discussão dos resultados(9).
Neste estudo de caso, é apresentada uma pessoa internada com diagnóstico de pneumonia, e aborda o plano terapêutico instituído no decorrer do internamento, englobando sessões de RFR. Este plano terapêutico decorreu durante o mês de dezembro de 2023, tendo sido iniciado no primeiro dia de internamento. Foram monitorizados os resultados alcançados e realizados 3 momentos de avaliação: avaliação inicial, avaliação intermédia e avaliação final.
Para a concretização do estudo, foi realizado um pedido de autorização à Comissão de Ética da instituição hospitalar onde está inserido o serviço de internamento, tendo o mesmo sido autorizado. Além disso, foram consideradas as questões éticas associadas de forma a garantir os direitos de autodeterminação e de proteção contra o prejuízo e desconforto, respeitando os princípios da Beneficência e da Não Maleficência. Também foram cumpridos os princípios éticos da Fidelidade, Justiça, Veracidade e Confidencialidade(10). Como tal, e de forma a respeitar os princípios previamente traçados, a pessoa cuidada será identificada como Srª D. Maria (nome fictício). A obtenção de toda a informação necessária para a realização do presente estudo foi obtida através da consulta do processo clínico da mesma, da sua observação e exame físico e através de uma entrevista estruturada realizada à própria pessoa e ao seu familiar de referência. Foi obtido o consentimento livre e esclarecido antes da colheita de dados.
Os instrumentos específicos para avaliar a função respiratória basearam-se no Guia Orientador da Boa Prática para a Reabilitação Respiratória da Ordem dos Enfermeiros(5). Neste sentido, a avaliação baseou-se nos sinais e sintomas da patologia respiratória; toracalgia, avaliada através da Escala Numérica da Dor; dispneia, avaliada através da Escala de Borg Modificada; tosse e expetoração, através do aspeto macroscópico; exame físico; gasometria arterial e radiografia do tórax.
APRESENTAÇÃO DO CASO
Anamnese
A anamnese orienta o profissional de saúde quanto à identificação do diagnóstico e posterior planeamento e implementação do plano de intervenção dirigido às necessidades encontradas. O presente caso diz respeito a uma pessoa de 89 anos de idade, sexo feminino, raça caucasiana e de nacionalidade portuguesa. É viúva desde há 10 anos e tem uma filha que reside perto de sua casa. Foi admitida no serviço de urgência a 30 de novembro de 2023, por apresentar quadro hipertensivo, dispneia com respiração abdominal e tiragem supra-clavicular e farfalheira. Segundo a filha, a Srª D. Maria apresentava tosse produtiva, com três dias de evolução. No acolhimento do serviço de urgência estava calma, consciente, orientada. Taquipneica, com saturação periférica de oxigénio [SpO2] de 85% com fração inspirada de oxigénio [FiO2] a 21% e com presença de ruídos adventícios no terço inferior pulmonar bilateralmente. Foi colocado aporte suplementar de oxigénio [O2] por cânula nasal a 3l/min, e foram realizados exames complementares de diagnóstico, cujos resultados se encontram dispostos na Tabela 1:
Tabela 1 Resultados dos exames complementares de diagnóstico realizados no serviço de urgência
| Exames complementares de diagnóstico | Resultado | ||||
|---|---|---|---|---|---|
| Gasimetria Arterial | pH 7.43 | pCO2 42.10 mmHg | PO2 54 mmHg | HCO3 53 mmHg | Lactatos 1.00mmol/L |
| Hemoculturas | Negativo | ||||
| Pesquisa de Antigénio estreptococos pneumoniae e legionella | Negativo | ||||
| Pesquisa de SARS-CoV-2 | Negativo | ||||
| Radiografia do tórax | Apagamento dos seios costofrénicos bilateralmente e do seio cardíaco, assim como hipotransparência no pulmão direito e no terço inferior esquerdo, evidenciando áreas de condensação sugestivas de presença de secreções. | ||||
Atendendo à sintomatologia que apresentava e ao que foi observado na radiografia do tórax, a Srª D. Maria necessitava de uma higiene brônquica de modo a garantir trocas gasosas eficazes, prevenir atelectasias e aumentar a capacidade respiratória. Para além disso, e atendendo ao resultado da gasimetria arterial, é possível verificar que a mesma apresentava insuficiência respiratória tipo 1, onde há diminuição do valor de PO2 com valores de PCO2 normalizados. Este resultado existe devido à afeção nas trocas gasosas, levando ao surgimento de hipoxémia. Neste sentido, a Srª D. Maria foi transferida para o internamento para seguimento e tratamento adequados.
Como antecedentes pessoais, a Srª D. Maria tem hipertensão arterial há 10 anos, fez uma colecistectomia em 2020 e teve um internamento em junho de 2022 por pneumonia. Desconhece alergias.
No que concerne ao desempenho nas atividades de vida diária, a Srª D. Maria era previamente independente até à admissão no serviço de urgência, realizando pequenas caminhadas na rua onde vive. Reside num apartamento no primeiro andar de um prédio com elevador. Na questão sociofamiliar e habitacional não tem dificuldades económicas e ergonómicas.
Avaliação de enfermagem de reabilitação
Para a implementação de um programa de ER, é necessário juntar os dados recolhidos através da anamnese, da análise dos exames complementares de diagnóstico e do exame físico realizado à pessoa. O plano de reabilitação teve início no dia 7 de dezembro, tendo as respetivas intervenções sido implementadas até ao dia 15, dia em que teve alta clínica para o domicílio.
No que concerne à função respiratória, procedeu-se a uma avaliação objetiva e subjetiva. Na avaliação subjetiva, a Srª D. Maria encontrava-se com dispneia e tosse aguda com presença de expetoração espessa esverdeada. Foi avaliado o pico de fluxo da tosse através do “Peak Flow Meter”, tendo apresentado um valor de 170L/min, evidenciando tosse fraca e incapaz de eliminar eficazmente as secreções das vias aéreas. Para a avaliação da dispneia, evidenciou um valor de 1/10 pontos em repouso e 6/10 pontos ao esforço, segundo a Escala de Borg modificada. Objetivamente, apresentava-se em ventilação espontânea, eupneica com FiO2 a 33%, frequência respiratória de 22 ciclos por minuto e com respiração predominantemente toraco-abdominal, simétrica, rítmica e de baixa amplitude. Foi realizado exame físico do tórax. Na inspeção, não se observaram alterações da coluna torácica, padrões respiratórios anormais ou deformidades da caixa torácica. À palpação, não se detetaram alterações da traqueia e do tórax e observou-se simetria da expansibilidade torácica e aumento do frémito toraco-vocal no terço inferior direito e esquerdo. À percussão, escutou-se um som claro pulmonar no terço superior e terço médio de ambos os hemitórax e som maciço pulmonar no terço inferior direito e esquerdo. Aquando da auscultação pulmonar, revelou murmúrio vesicular globalmente diminuído, com presença de fervores crepitantes no terço inferior bilateralmente.
Diagnósticos de enfermagem de reabilitação
Após a avaliação da função respiratória e de acordo com a linguagem da Classificação Internacional para a Prática de Enfermagem 2019(11), foram identificados quatro diagnósticos de Enfermagem:
Sessões de reeducação funcional respiratória
Realizada a avaliação e identificados os diagnósticos de ER, foram planeadas intervenções de ER a implementar no decorrer do internamento, e que se encontram expostas na Tabela 2. Os recursos utilizados para a execução destas intervenções foram: mesa, cama articulada, cadeirão, inspirómetro de incentivo, bastão, estetoscópio, “Peak Flow Meter”, oxímetro de dedo, espelho, andarilho e cicloergómetro. As intervenções foram asseguradas nas diversas sessões, tendo tido a duração entre 30 a 45 minutos.
Tabela 2 Diagnósticos e intervenções de ER
| Diagnóstico de Enfermagem | |
|---|---|
| Dispneia Presente | |
| Intervenções de Enfermagem | - Avaliar a respiração (tipo de ventilação, padrão respiratório, amplitude, simetria, ritmo e sinais ou sintomas de dificuldade respiratória); - Monitorizar a frequência respiratória e a SpO2; - Instruir e treinar técnica de posicionamento adequado (técnica de descanso e relaxamento e correção postural); - Instruir, treinar e incentivar técnicas de RFR: consciencialização e controlo da respiração com técnica de dissociação dos tempos respiratórios e expiração com os lábios semicerrados (2 séries de 10 repetições), reeducação diafragmática com resistência de 1Kg (2 séries de 10 repetições); - Ensinar sobre gestão do ambiente físico e fatores indutores de agravamento da dispneia. |
| Ventilação Comprometida | |
| Intervenções de Enfermagem | - Avaliar a respiração; - Monitorizar a frequência respiratória e a SpO2; - Auscultar o tórax; - Avaliar sinais de compromisso da ventilação (ruídos adventícios e alterações dos tempos inspiratório e/ou expiratório); - Avaliar alterações na mobilidade da caixa torácica (amplitude, deformidades); - Instruir e treinar técnica de posicionamento adequado (técnica de descanso e relaxamento e correção postural); - Instruir, treinar e incentivar técnicas de RFR: consciencialização e controlo da respiração com técnica de dissociação dos tempos respiratórios e expiração com os lábios semicerrados, reeducação diafragmática e reeducação costal global com bastão (2 séries de 10 repetições); terapêutica de posição (a cada 2 horas); inspirometria de incentivo (10 repetições, 3x/dia). |
| Expetorar Ineficaz, em grau moderado | |
| Intervenções de Enfermagem | - Avaliar e estimular o reflexo de tosse; - Instruir e treinar técnicas de RFR: abertura costal global; drenagem postural (3 a 15 minutos em cada posição, 1-4x/dia); manobras acessórias como a técnica de percussão e vibrocompressão torácica (2 vezes por dia durante 15 minutos); - Ensinar sobre a tosse (finalidade, fases e os mecanismos desencadeadores); - Ensinar sobre as vantagens de uma tosse bem executada; - Instruir e treinar técnica de tosse dirigida e assistida (aplicada no final do programa de RFR durante 5 minutos, séries de 5 repetições consoante tolerância); - Incentivar a tossir; - Vigiar a expetoração; - Supervisionar a ventilação; - Incentivar a ingestão de líquidos; - Instruir e treinar administração de terapêutica inalatória através de inalador. |
| Intolerância à atividade presente | |
| Intervenções de Enfermagem | - Avaliar a intolerância à atividade; - Avaliar conhecimento e instruir sobre hábitos de exercício e técnica de conservação de energia; - Ensinar na gestão dos períodos de atividade e repouso; - Informar e treinar equipamento adaptativo para o exercício; - Instruir e treinar técnicas de posição de descanso e relaxamento e de exercitação musculoarticular; - Planear o repouso; - Supervisionar a resposta ao exercício. |
RESULTADOS
O programa de reabilitação delineado foi implementado durante oito sessões, exclusivamente por um EEER. A avaliação dos resultados decorreu de acordo com as recomendações do Guia Orientador de Boa Prática da Reabilitação Respiratória(5).
No decorrer das sessões, a Srª D. Maria não teve nenhum episódio de dor, antes e após as intervenções realizadas. Já no que diz respeito à dispneia, houve necessidade de realizar esta avaliação no início, durante e no final de todas as sessões de RFR, sendo os resultados apresentados no Gráfico 1.
Após a análise dos resultados dispostos no Gráfico 1, a Srª D. Maria demonstrou uma melhoria significativa da tolerância ao esforço no decorrer das sessões de RFR. A monitorização deste parâmetro não conferiu limitações durante a execução das técnicas delineadas.
No que diz respeito à tosse e expetoração, a Tabela 3 demonstra os resultados relativos à avaliação da tosse e das suas características.
Tabela 3 Resultados da avaliação da tosse
| Data | 07/12 | 11/12 | 15/12 | |||
|---|---|---|---|---|---|---|
| Início | Fim | Início | Fim | Início | Fim | |
| Tosse | P/IN | P/IN | P/E | P/E | SE | SE |
| Pico fluxo de tosse (l/min) | 170 | 190 | 230 | 270 | 290 | 300 |
| Secreções | MP | MP | M | M | AU | AU |
| Viscosidade | ES | ES | V | V | AU | AU |
Legenda: AU - Ausente; ES - Espessa; F - Eficaz; IN - Ineficaz; M - Mucosas; MP - Mucopurulentas; P - Presente; SE - Seca; V - Viscosas
Na primeira avaliação, a Srª D. Maria apresentava tosse aguda com presença de expetoração, mas que não conseguia expelir de forma eficaz. Após a realização do ensino e treino das técnicas de RFR, conseguiu realizar uma melhor mobilização das secreções, permitindo a eliminação das mesmas.
A avaliação do pico fluxo de tosse permitiu mensurar a força da tosse, estando relacionado diretamente com a capacidade de gerar uma pressão expiratória(5). Os resultados demonstraram que a Srª D. Maria apresentava inicialmente um grande risco de desenvolvimento de complicações respiratórias que, após a intervenção especializada, permitiu melhorar a capacidade de eliminar as secreções da via aérea eficazmente.
Relativamente à expetoração, a Srª D. Maria revelava inicialmente uma expetoração espessa esverdeada. No decorrer das sessões de RFR, a quantidade de secreções eliminadas aumentou e a consistência diminuiu. No final do plano terapêutico, apresentava apenas acessos de tosse seca, embora frequentes.
No que diz respeito à avaliação do processo corporal, baseada no exame físico, evidenciaram-se algumas alterações no que diz respeito à palpação, percussão e auscultação. Na Tabela 4, expõem-se os resultados referentes à avaliação decorrente da percussão torácica.
Tabela 4 Resultados da avaliação por percussão torácica
| Percussão torácica da face anterior do tórax | ||||||
|---|---|---|---|---|---|---|
| Data | 07/12 | 11/12 | 15/12 | |||
| Início | Fim | Início | Fim | Início | Fim | |
| Terço superior direito | SP | SP | SP | SP | SP | SP |
| Terço médio direito | SP | SP | SP | SP | SP | SP |
| Terço inferior direito | M | M | HO | HO | SP | SP |
| Terço superior esquerdo | SP | SP | SP | SP | SP | SP |
| Terço médio esquerdo | SP | SP | SP | SP | SP | SP |
| Terço inferior esquerdo | M | M | HO | HO | SP | SP |
| Percussão torácica da face posterior do tórax | ||||||
| Data | 07/12 | 11/12 | 15/12 | |||
| Início | Fim | Início | Fim | Início | Fim | |
| Terço superior direito | SP | SP | SP | SP | SP | SP |
| Terço médio direito | SP | SP | SP | SP | SP | SP |
| Terço inferior direito | M | M | HO | HO | SP | SP |
| Terço superior esquerdo | SP | SP | SP | SP | SP | SP |
| Terço médio esquerdo | SP | SP | SP | SP | SP | SP |
| Terço inferior esquerdo | M | M | HO | HO | SP | SP |
Legenda: HO - Hiposonoridade; M - Maciço; SP - Som claro pulmonar
Esta avaliação acusou diferentes densidades dos campos pulmonares. A macicez estava instalada no terço inferior pulmonar bilateralmente, e, apenas na última avaliação se verificou um som claro pulmonar.
A Tabela 5 refere-se aos resultados decorrentes da avaliação por palpação torácica.
Tabela 5 Resultados da avaliação por palpação torácica
| Face Anterior do Tórax | ||||||
|---|---|---|---|---|---|---|
| Data | 07/12 | 11/12 | 15/12 | |||
| Início | Fim | Início | Fim | Início | Fim | |
| Frémito toraco-vocal | ||||||
| Terço superior direito | M | M | M | M | M | M |
| Terço médio direito | A | A | M | M | M | M |
| Terço inferior direito | A | A | A | A | A | A |
| Terço superior esquerdo | M | M | M | M | M | M |
| Terço médio esquerdo | A | A | A | A | M | M |
| Terço inferior esquerdo | A | A | A | A | M | M |
| Face Posterior do Tórax | ||||||
| Data | 07/12 | 11/12 | 15/12 | |||
| Início | Fim | Início | Fim | Início | Fim | |
| Frémito toraco-vocal | ||||||
| Terço superior direito | M | M | M | M | M | M |
| Terço médio direito | A | A | M | M | M | M |
| Terço inferior direito | A | A | M | M | M | M |
| Terço superior esquerdo | M | M | M | M | M | M |
| Terço médio esquerdo | A | A | M | M | M | M |
| Terço inferior esquerdo | A | A | A | A | M | M |
Legenda: A - Aumentado; M - Mantido
Pela palpação da face anterior e posterior do tórax, bilateralmente, observou-se inicialmente um aumento do frémito toraco-vocal, essencialmente no terço inferior direito e esquerdo. Ao longo das sessões de RFR, houve uma melhoria nesta avaliação, registando-se uma redução do mesmo que acompanhou paralelamente a eliminação de secreções.
Os cuidados de ER realizados foram direcionados conforme a auscultação pulmonar realizada antes de cada sessão, estando os resultados desta avaliação dispostos na Tabela 6.
Tabela 6 Resultados da avaliação por auscultação torácica
| Data | 07/12 | 11/12 | 15/12 | ||||||
|---|---|---|---|---|---|---|---|---|---|
| Localização | Esquerdo | Direito | Esquerdo | Direito | Esquerdo | Direito | |||
| Auscultação | Murmúrio Vesicular | Terço superior | Início | D | D | D | D | M | M |
| Fim | D | D | D | D | M | M | |||
| Terço médio | Início | D | D | D | D | M | M | ||
| Fim | D | D | D | D | M | M | |||
| Terço inferior | Início | D | D | D | D | D | D | ||
| Fim | D | D | D | D | D | D | |||
| Ruídos Adventícios | Terço superior | Início | A | A | A | A | A | A | |
| Fim | A | A | A | A | A | A | |||
| Terço médio | Início | FC | FC | FC | FC | A | A | ||
| Fim | FC | FC | A | A | A | A | |||
| Terço inferior | Início | FC | FC | FC | FC | A | A | ||
| Fim | FC | FC | FC | FC | A | A | |||
Legenda: M - Mantido; D - Diminuído; A - Ausentes; FC - Fervores Crepitantes
Os fervores crepitantes foram o único ruído adventício presente, mais evidentes no terço inferior direito e esquerdo. Na última avaliação, a Srª D. Maria revelou murmúrio vesicular mantido em todos os campos pulmonares, à exceção do terço inferior esquerdo que se encontrava ligeiramente diminuído, sem presença de ruídos adventícios.
No que diz respeito aos indicadores clínicos da condição fisiológica da pessoa, estes nunca foram limitadores ou contraindicações para a execução das técnicas de RFR. Na Tabela 7 encontram-se os resultados da avaliação da frequência respiratória e SPO2 , nos três diferentes momentos de avaliação.
Tabela 7 Resultados da avaliação da frequência respiratória e SPO2
| Data | 07/12 | 11/12 | 15/12 | |||
|---|---|---|---|---|---|---|
| Início | Fim | Início | Fim | Início | Fim | |
| Frequência Respiratória (ciclos/minuto) | 22 | 21 | 20 | 20 | 18 | 18 |
| FiO2 | 33% | 29% | 27% | 23% | 21% | 21% |
| SPO2 | 92% | 93% | 94% | 95% | 97% | 97% |
No início do internamento, a Srª D. Maria apenas conseguia apresentar oximetrias superiores a 90% com aporte suplementar de oxigénio. No decorrer da implementação do plano de RFR, foi possível realizar desmame progressivo de oxigenoterapia suplementar, sendo que, na última avaliação, já apresentava oximetrias de 97% com FiO2 a 21%, evidenciando uma evolução positiva.
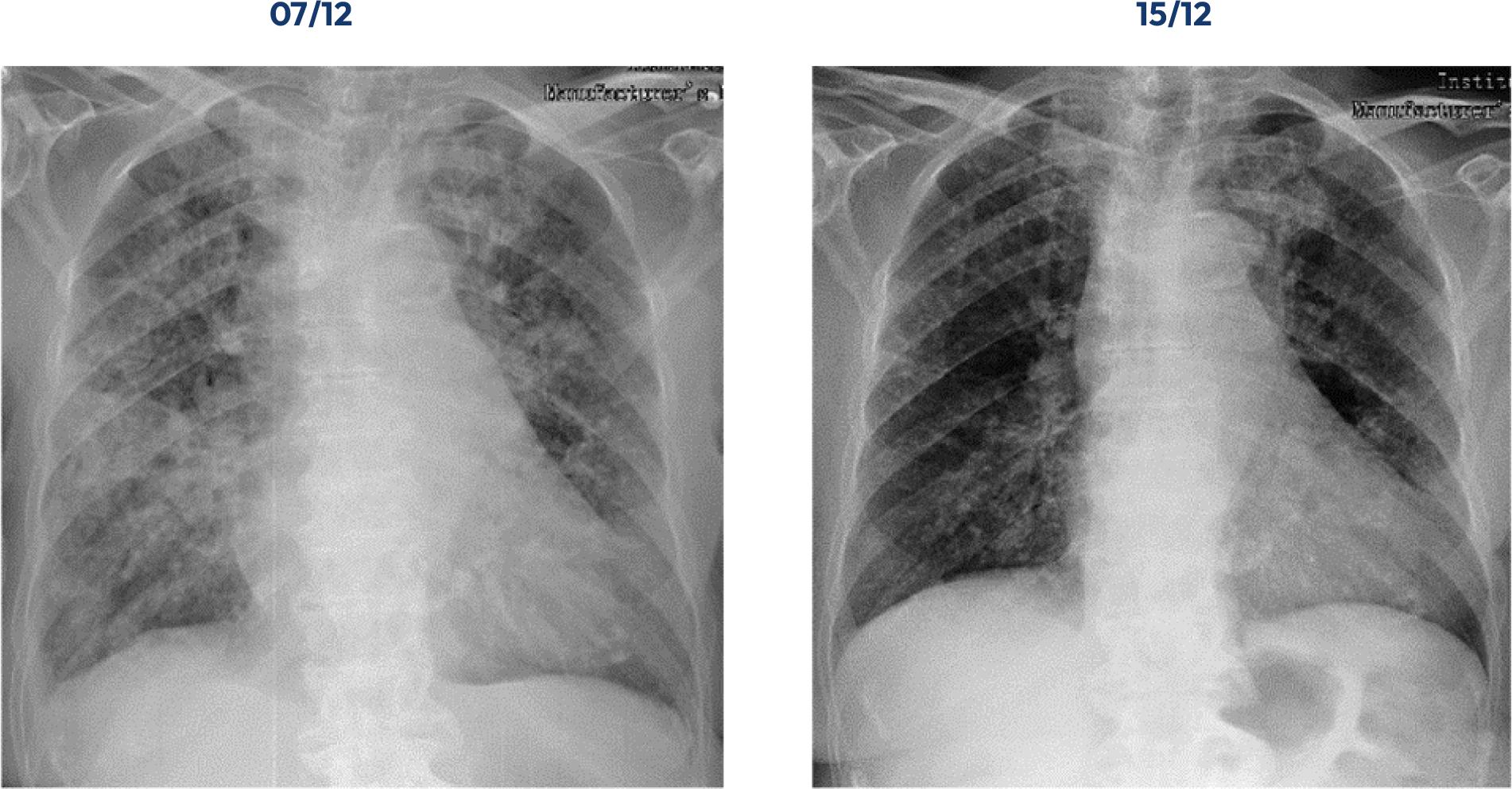
Neste tipo de doença, os exames complementares de diagnóstico são fundamentais para avaliar a patologia respiratória e a sua evolução. Na Figura 1, está presente a evolução imagiológica através de telerradiografia de tórax da Srª D. Maria.
A primeira imagem radiológica refere-se ao primeiro dia de internamento e, a segunda, ao dia da alta clínica. Percebe-se que a avaliação realizada através da auscultação pulmonar vai ao encontro do que este exame revela, existindo uma maior consolidação a nível do terço inferior direito e esquerdo. Além disso, está evidenciado um aumento da hipertransparência de ambos os campos pulmonares. Também a gasimetria arterial se traduz como importante, pois avalia as concentrações de oxigénio, ventilação e equilíbrio ácido-base(5). Na Tabela 8, encontram-se os resultados desta avaliação no primeiro e no último dia de internamento da Srª D. Maria.
Tabela 8 Resultados da gasometria arterial
| Data: | FiO2 (%) |
SPO2 (%) |
pH | pCO2 (mmHg) |
PO2 (mmHg) |
Lactatos (mmol/L) |
HCO3 (mmol/L) |
|---|---|---|---|---|---|---|---|
| 30/11 | 33 | 90 | 7,43 | 42,10 | 54 | 1,00 | 53,10 |
| 15/12 | 21 | 96 | 7,39 | 40,2 | 76 | 0,71 | 27,90 |
Pela análise dos valores obtidos, houve uma estabilização geral a nível de todos os parâmetros dentro dos limites que estão estabelecidos pela bibliografia(1,2).
De uma maneira geral, os resultados esperados foram alcançados e existiu uma evolução favorável em todos os diagnósticos de enfermagem identificados, evidenciando benefícios do plano terapêutico instituído.
DISCUSSÃO
No presente estudo, a Srª D. Maria apresentou um compromisso do sistema cardiorrespiratório derivado de uma patologia pulmonar restritiva. Os focos de Enfermagem que estão relacionados com o compromisso cardiorrespiratório, centram-se essencialmente na ventilação, intolerância à atividade e limpeza das vias aéreas(12). Na pessoa com pneumonia, os objetivos terapêuticos são delineados de acordo com a avaliação inicial e sintomatologia apresentada, sendo que a finalidade da RFR acaba por englobar a reexpansão pulmonar, a drenagem de secreções, a promoção de tosse eficaz e a reeducação ao esforço(4,5,12). No caso da Srª D. Maria, inicialmente foram realizadas intervenções afim de proporcionar uma ventilação mais eficiente, reduzir os sintomas da dispneia e permitir a expulsão das secreções eficazmente. Posteriormente, numa fase mais avançada do plano terapêutico de sessões de RFR, procedeu-se à reeducação ao esforço, aumentando assim a sua capacidade e performance respiratória.
A correção postural e a terapêutica de posição são fundamentais para uma relação ventilação/perfusão adequada, aumento do volume pulmonar e para a prevenção do aparecimento de outras complicações, como o desenvolvimento de atelectasias, infeções respiratórias ou de defeitos posturais(4,5). Para a técnica de correção postural, foi utilizado um espelho com dimensões suficientes para se conseguir visualizar toda a superfície corporal da Srª D. Maria, tanto em ortostatismo como na posição de sentada.
A consciencialização e controlo da respiração com a técnica de dissociação dos tempos respiratórios e na fase expiratória com os lábios semi cerrados, visa a tomada de consciência da respiração e o seu controlo, melhorando a coordenação e eficácia dos músculos respiratórios(4,5,12,13). Esta técnica foi realizada com recurso a um lenço de papel como feedback visual para a fase expiratória, estimulando a sua execução.
A utilização da técnica de respiração com os lábios semi cerrados em conjugação com outras, como por exemplo, a reeducação diafragmática, melhoram a excursão diafragmática e promovem o fortalecimento muscular das diferentes porções do diafragma(4,5,12). Também a conjugação desta técnica com a técnica de reeducação costal global, permite uma redução da dispneia e aumento da tolerância ao esforço(12). Esta última, além de melhorar a mobilidade torácica e articular, colocando o diafragma e os músculos acessórios numa posição mecanicamente mais vantajosa, contribui para a melhoria da ventilação, para a desobstrução das vias aéreas, melhoria da postura corporal e diminuição da dor torácica(4,5,12).
Com a realização das técnicas supracitadas e com a inspirometria de incentivo, através de um inspirómetro orientado a volume, foi possível aumentar os volumes inspiratórios e melhorar o desempenho dos músculos inspiratórios. Este dispositivo ajuda a restabelecer os padrões respiratórios normais, melhora o controlo respiratório e mantém a função pulmonar(4,5,12). Por apresentar um feedback visual, foi uma das técnicas que a Srª D. Maria acabou por realizar mais vezes durante o dia e com um melhor desempenho. No entanto, numa fase inicial e por apresentar dispneia a pequenos esforços, não foi capaz de exercer um esforço inspiratório suficiente para alcançar e sustentar volumes inspiratórios altos.
As alterações da função respiratória podem resultar não só em alterações fisiopatológicas das vias aéreas, como também em alterações do sistema mucociliar e da força dos músculos inspiratórios e expiratórios(1,2). Estas alterações, levam à diminuição da eficácia da tosse, acabando por comprometer a ventilação pulmonar e a permeabilidade das vias aéreas(14). Com o objetivo de ter uma expulsão das secreções eficaz, foi necessário implementar, em primeira instância, as técnicas de abertura costal global, drenagem postural e manobras acessórias. Posteriormente, no final das sessões de RFR, realizou-se o ensino e treino da tosse.
A drenagem postural ajuda a mobilizar as secreções de um ou mais segmentos pulmonares para as vias aéreas proximais. Esta técnica, quando combinada com manobras acessórias, tem uma efetividade elevada, uma vez que estas últimas se caracterizam pela aplicação de uma força externa na parede torácica com o objetivo de potenciar o descolamento das secreções e a mobilização das mesmas(4,5,12).
Após a mobilização das secreções, é necessário eliminá-las. A tosse, que corresponde a uma expiração forçada e explosiva, após uma inspiração lenta e profunda, apresenta três fases: inspiração ampla, contração dos músculos abdominais e a expulsão do ar em grande velocidade(14). O ensino da tosse é fundamental num plano terapêutico de sessões de RFR, tendo sido realizada não só a tosse dirigida, como também a tosse assistida(4,5,12,14).
No que diz respeito à terapêutica inalatória, esta via de administração permite uma ação terapêutica mais rápida e com maior eficácia, utilizado menores doses de terapêutica, associando-se assim a menos efeitos adversos. Além disso, é a via de eleição para a administração de fármacos no tratamento das doenças respiratórias(4,15). O ensino da realização da técnica correta de administração da terapêutica inalatória é fulcral para que se obtenha a máxima eficácia da substância farmacológica(15).
Face ao conhecimento, Petronilho(16) enfatiza que se deve privilegiar uma aprendizagem por meio de ensinos, treinos e observação de comportamentos. O Enfermeiro deve recorrer à demonstração, fomentando o saber-fazer e alcançando uma resposta correta através do treino, reforçando sempre o aprendiz durante todo o processo de execução e aprendizagem.
De uma forma geral, verificou-se que a implementação de intervenções englobadas num plano terapêutico de sessões de RFR, resultou não só numa melhoria da função pulmonar da Srª D. Maria, como também num aumento da produção e eliminação mais eficaz das secreções. Além disso, também se verificou valores mais baixos na escala de avaliação da dispneia e a redução dos sintomas relacionados com a mesma, menos sensação de fadiga, maior tolerância ao esforço, fortalecimento da musculatura pulmonar, melhores pressões máximas inspiratórias e expiratórias, melhoria na auscultação pulmonar e nos resultados analíticos das gasometrias arteriais e SpO2.
CONSIDERAÇÕES FINAIS
As técnicas de RFR usadas como forma de tratamento não farmacológico para controlo da sintomatologia associada à pneumonia, têm resultados positivos como a redução da fadiga, diminuição da dispneia, aumento da tolerância ao esforço, alteração nos volumes e capacidades pulmonares e nas pressões, inspiratória e expiratória, máximas. De uma forma geral, foram alcançados os objetivos inicialmente delineados, sendo seguro dizer que existe eficácia e segurança na implementação de um plano terapêutico de sessões de RFR, à pessoa com pneumonia.
Espera-se que este estudo de caso contribua para dar visibilidade ao trabalho do EEER e à importância da sua intervenção especializada. Sugere-se a realização de mais estudos, visto que é evidente a escassez de evidência científica realizada especificamente na área da ER. Além disso, será interessante realizar um estudo comparativo da intervenção realizada diariamente em comparação à realizada duas vezes ao dia, permitindo extrair dados relevantes e que servirão de base estabelecer os melhores planos de cuidados.










text in 





