We present the case of a 78-year-old male with a history of atrial fibrillation, arterial hypertension, dyslipidemia, and past smoking habits. His medication included perindopril, simvastatin, edoxaban, and omeprazole. The patient presented with a 9-month history of abdominal pain, diarrhoea, anorexia, and a significant weight loss exceeding 20 kg.
He also reported the appearance of a painful, red, and fissured tongue, which made eating difficult (Fig. 1). Additionally, he experienced abnormal hair growth characterised by elongated, thin, and soft hair on his face, ears, back, and abdomen, as well as in his eyelashes (Fig. 1, 2).

Fig. 1. Fissured tongue compatible with glossitis and elongated, soft, unpigmented hair around the nose.

Fig. 2. Hypertrichosis lanuginosa acquisita presenting with trichomegaly of the eyelashes (a) and faint, unpigmented hair on the ear (b).
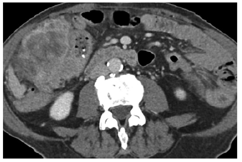
Diagnostic work-up, including a computed tomography scan and colonoscopy, revealed a large neoplasm in the cecum/ileocecal valve region, extending into the terminal ileum and ascending colon (Fig. 3). Histological analysis confirmed adenocarcinoma, staged as a cT4aN2M0.

Fig. 3. Computed tomography (CT) showing neoplasia of the cecum/ileocecal valve region with transmural infiltration.
Given the suspicion of paraneoplastic hypertrichosis, a dermatological evaluation was conducted. This confirmed the presence of fine,non-pigmented, lanugo-type hair extensively distributed over the patient’s skin, along with glossitis and eyelash trichomegaly. These findings were consistent with Hypertrichosis lanuginosa acquisita (HLA).
During the diagnostic work-up, the patient presented to the emergency department with signs of bowel obstruction and an urgent right hemicolectomy was performed. The surgical and post-surgical courses were uneventful, and the patient was started on chemotherapy. After this, he noted a slight improvement in hypertrichosis. Subsequent assessments revealed disease progression and the patient died 6 months after the diagnosis.
Discussion
Paraneoplastic HLA is a rare syndrome, with early case reports dating back to the late 19th century [1]. Despite its historical recognition, recent descriptions in the literature remain limited [2]. It affects more women than men but with a potential underreporting in men. The typical onset is between 40 and 70 years, often accompanied by glossitis, eyelash trichomegaly, and other paraneoplastic syndromes such as Acanthosis nigricans maligna. HLA needs to be differentiated from other causes of hypertrichosis, including endocrine or metabolic diseases (e.g., porphyria cutanea tarda and hyperthyroidism), and medication-related causes (e.g., cyclosporine, penicillamine, glucocorticoids, interferon, minoxidil, phenytoin, spironolactone, and cetuximab) [3].
In women, HLA is commonly associated with colorectal carcinoma, followed by lung and breast cancers. Conversely, in men, lung cancer predominates, followed by colorectal carcinoma. HLA may precede tumour diagnosis by approximately two and a half years. Still, its presence often indicates metastatic disease, associated with a poor prognosis, with a mean survival of less than 3 years. Successful tumour treatment can reverse abnormal hair growth [4].
The mechanism responsible for HLA is still unclear. Reports have linked anti-tumoural agents such as cetuximab, a monoclonal antibody targeting the epidermal growth factor receptor, to HLA. This underscores the potential involvement of epidermal growth factor signalling in HLA pathophysiology, given their role in both hair follicle development and numerous solid malignancies [5]. This case highlights the importance of considering malignancy in patients with unexplained excessive hair growth, particularly in men, and the poor prognosis associated with HLA.













