SciELO - Scientific Electronic Library Online

 
vol.32 número3Lesão hepática colestática induzida pela propafenona: quando o diagnóstico não perde o ritmoCercado pelo pâncreas: uma causa incomum de obstrução do trato de saída gástrico índice de autoresíndice de materiabúsqueda de artículos
Home Pagelista alfabética de revistas  

Servicios Personalizados

Revista

Articulo

Indicadores

Links relacionados

  • No hay articulos similaresSimilares en SciELO

Compartir


GE-Portuguese Journal of Gastroenterology

versión impresa ISSN 2341-4545versión On-line ISSN 2387-1954

GE Port J Gastroenterol vol.32 no.3 Lisboa jun. 2025  Epub 12-Jun-2025

https://doi.org/10.1159/000542581 

Endoscopic Snapshot

Uncommon Presentation of Gastric Heterotopia Manifesting as a Polypoid Mass

Heterotopia gástrica com apresentação polipoide rara

Maria Inês Viegas1 

Luís Elvas1 
http://orcid.org/0000-0002-7904-6129

Daniel Brito1 

Miguel Areia1 
http://orcid.org/0000-0001-9787-8175

Susana Alves1 

Ana Teresa Cadime1 

1Gastroenterology Department, Portuguese Oncology Institute of Coimbra (IPO Coimbra), Coimbra, Portugal


Introduction

Gastric heterotopia (GH) is characterized by the presence of differentiated gastric mucosa tissue outside the stomach, known as inlet patch, most commonly located in the proximal esophagus [1, 2]. The incidence ranges between 0.1 and 10% in adults [2]. Most patients with GH are asymptomatic; however, symptoms such as globus sensation, dysphagia, and odynophagia are associated due to acid secretion from the gastric mucosa [2, 3]. Complications including esophageal strictures have been reported, but polyps are rarely seen [4]. Despite the generally low incidence of relevant manifestations reported in the literature, controversies remain regarding the clinical significance of this condition.

Clinical Case

A 53-year-old man was referred for management of a sessile polyp (Paris 0-Is) in the proximal esophagus, identified during an esophagogastroduodenoscopy performed due to heartburn and regurgitation. Biopsies were compatible with a hyperplastic polyp.

The patient’s medical history includes heavy tobacco consumption. Additionally, he was taking esomeprazole at a dose of 40 mg.

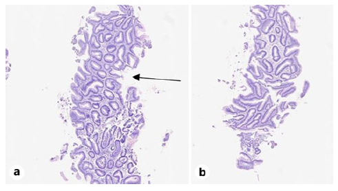
We repeated upper gastrointestinal endoscopy and observed two areas of pink mucosa oppositely positioned in the proximal esophagus (18 cm from the incisors), suggesting GH. One of these areas had a polypoid morphology with congestive, friable, and erosive mucosa measuring approximately 12 mm (Fig. 1). Narrow-band imaging evaluation showed a preserved glandular, vascular pattern (Fig. 2). Biopsies were taken from the lesion and anatomopathological assessment revealed fragments of gastric-type mucosa, consisting of occasional poorly oriented foveolar structures compatible with ulcerated GH. There was no metaplasia or dysplasia. No H. pylori-like microorganisms were observed in GH (Fig. 3). A multidisciplinary approach led us to decide on an expectant strategy due to its probable benign course. A follow-up endoscopy was performed, and the polypshowednosignificant changes from the prior examination.

Fig. 1 Congestive and friable polyp arising from esophageal inlet patch in the proximal esophagus, in contralateral position to another inlet patch. 

Fig. 2 Narrow-band imaging assessment of the polyp showing a preserved glandular and vascular pattern. 

Fig. 3 Proximal esophagus: two distinct fragments (a, b) of gastric-type mucosa with foveolar structures (black arrow). Hematoxylin-eosin staining. ob2x. 

A diagnosis of GH with a polypoid morphology was made, which is compatible with a hyperplastic polyp. Hyperplastic polyps rarely originate from esophageal inlet patches and their potential carcinogenic pathway has not been fully documented. To our knowledge, only a few case reports of GH with polypoid morphology exist in the literature [2, 4]. Further research is needed to determine the most appropriate management of these patients.

References

1. Dawley JC, Gavini HK, Sun BL. Submucosal gastric heterotopia presenting as an upper esophageal nodule. J Surg Case Rep. 2021;2021(6): rjab251. https://doi.org/10.1093/jscr/rjab251 [ Links ]

2. Nikbakhsh K, Mojaddad A, Shokri Shirvani A, Ranaee M. New presentation of inlet patch with polypoid kissing pattern: case report. Middle East J Dig Dis. 2023;15(1):66-7. https://doi.org/10.34172/mejdd.2023.324 [ Links ]

3. Seth AK, Gupta MK, Kaur G, Jain P, Bansal RK. Symptomatic heterotopic gastric mucosa in distal esophagus. J Health Allied Sci NU. 2022;12(01):90-2. https://doi.org/10.1055/s-0041-1731141 [ Links ]

4. Chong VH. Clinical signi?cance of heterotopic gastric mucosal patch of the proximal esophagus. World J Gastroenterol. 2013;19(3):331-8. https://doi.org/10.3748/wjg.v19.i3.331 [ Links ]

Statement of Ethics Ethical approval was not required to this type of manuscript due to local laws. The patient has given written informed consent for publication (including the publication of images).

Conflict of Interest Statement The authors have no conflicts of interest to declare.

Funding Sources This case report was not supported by any sponsor or funder.

Author Contributions Maria Inês Viegas, Daniel Brito, and Miguel Areia were involved in the endoscopic procedure and manuscript drafting. Luís Elvas, Sandra Saraiva, and Susana Alves were involved in manuscript drafting and critical revision. Ana Teresa Cadime reviewed the manuscript and gave final approval. All authors approved the final version.

Data Availability Statement All data generated or analyzed during this study are included in this article. Further inquiries can be directed to the corresponding author.

Received: July 24, 2024; Accepted: October 28, 2024

Correspondence to: Maria Inês Viegas, mariainesviegas96@gmail.com

Creative Commons License This is an open-access article distributed under the terms of the Creative Commons Attribution License