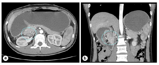
A previously healthy 22-year-old male presented to our hospital with a 2-month history of heartburn, postprandial vomiting, and significant weight loss. Physical examination revealed a soft, non-tender abdomen. Laboratory tests showed microcytic anemia (Hb 11.3 g/dL, MCV 66 fL) and thrombocytosis (544 × 109/L), with normal amylase and lipase levels. Upper endoscopy identified antral ulcerations and a severely stenotic pylorus (Fig. 1), preventing further scope advancement. A subsequent abdominal computed tomography scan revealed marked gastric distension, a significant reduction in the caliber of the second portion of the duodenum, and abnormal projections of the pancreatic head wrapping the descending part of the duodenum (Fig. 2).

Fig. 2 CT scan - axial (a) and coronal (b) planes - showing gastric distension and stenosis of the second portion of the duodenum with abnormal pancreatic head tissue wrapping the descending part of the duodenum (dotted blue circle). CT, computed tomography.
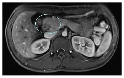
These imaging findings suggested gastric outlet obstruction secondary to incomplete annular pancreas (AP). Magnetic resonance imaging/cholangiopancreatography confirmed the diagnosis, showing the characteristic “crocodile jaw” appearance of the pancreatic head (Fig. 3). The remainder of the pancreas exhibited normal morphology, with no signs of focal or diffuse injury or ductal ectasia. After multidisciplinary discussion, the patient underwent a Roux-en-Y gastrojejunostomy, was discharged after 7 days, and reported no further complaints during follow-up.

Fig. 3 MRI scan with “crocodile jaw” appearance of the pancreatic head (dotted blue circle). MRI, magnetic resonance imaging.
AP is a rare congenital anomaly characterized by partial or complete encirclement of the second part of the duodenum by pancreatic tissue. It may occur as an isolated finding or be associated with other congenital anomalies [1]. The clinical presentation varies widely, depending on the extent of duodenal encasement and whether the common bile duct is compressed. Most patients with AP are asymptomatic, and the onset of symptoms depends on the degree of duodenal obstruction. While AP typically presents in infancy, it can manifest in adults as duodenal obstruction, pancreatitis, or obstructive jaundice [2]. In most cases, preoperative diagnosis can be confirmed using computed tomography, magnetic resonance imaging/cholangiopancreatography, or endoscopic retrograde cholangiopancreatography [3]. The prognosis for symptomatic adults with AP is poor if left untreated, primarily due to the risk of chronic duodenal obstruction, recurrent pancreatitis, and potential malignancy [4]. Bypass surgery is the treatment of choice for duodenal obstruction caused by AP, with the goal of relieving stenosis by bypassing the pancreatic annular tissue. Direct resection of the annulus is not recommended due to the risk of postoperative complications, including pancreatic fistula formation, pancreatitis, and incomplete resolution of the obstruction [5]. This case underscores the importance of considering symptomatic AP in adults presenting with unexplained gastric outlet obstruction and highlights the value of imaging techniques in diagnosing and guiding the appropriate management of this condition.













